아핫뉴스실시간 인기검색어
아핫뉴스 화산 이미지
화산 아이콘 11
비트코인 약세장 탈출 신호 부족
아하

의료상담

이비인후과

젊은퓨마142
젊은퓨마142

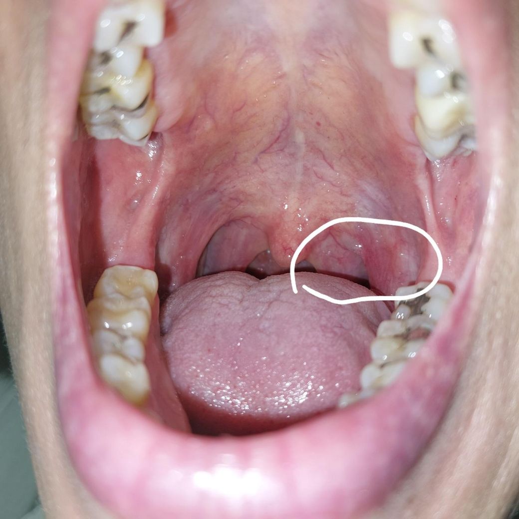
목안이 헐은것처럼 아픈데 하얗게 생긴 저거 뭘까요?

성별
여성
나이대
39

5ㅡ6개월전부터 목이 헐은것처럼 아팠는데 오늘도 아파서 사진을 찍었더니 하얗게 부푼 느낌으로 보이더라고요

혹시니 해서 동네 소아과 갔는데 어디가 이상하다는건지.모르시겠다며ㅠㅠ

근데ㅡ저는 목구멍이.아파요ㅠㅠ

잠을 잘 못자는편인데 ..

답변 부탁드립니다.

  • 1번 째 사진
  • 2번 째 사진
1개의 답변이 있어요!
  • 안녕하세요. 최성훈 내과 전문의입니다.

    올려주신 사진에서 특별한 이상소견은 관찰되지 않습니다.

    불편 증상이 지속된다면 직접 진찰을 위해 이비인흔과 진료를 받아보실 것을 권합니다.

    음주, 흡연, 자극적인 음식의 섭취는 인후통을 악화시킬 수 있어 피하기 바랍니다.