안녕하세요. 이경민 수의사입니다.
위에 언급한 영양제들은 신부전 치료에 주로 사용되는 영양제입니다.
상황에 맞게 용량을 조절 하여 투여해볼 수 있습니다. 특정 영양제품을 추천하는 것은 신고사유가 될 수 있어 언급드리기 어렵습니다.
주치의 선생님과 상담을 받아보시길 바랍니다.
신장이 노폐물을 걸러내는 역활을 합니다.
한쪽 신장에 부담이갈 수 있으므로
인, 단백질제한 식이를 하는 것이 좋으며
루비날, 오메가3 등으로
신섬유화, 염증물질 감소를 시킬 수 있습니다.
안녕하세요. 이은수 수의사입니다.
큰도움이 되지 않기 때문에 추천되지 않습니다.
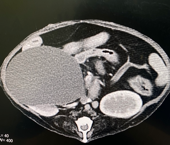
첨부해주신 CT 영상을 볼때 낭성 변화를 보이는 신장의 실질에 종영이 반대편 신장과 거의 유사한 수준으로 보이고 있어
낭성으로 구조 변화를 보이고 있으나 신장의 기능은 유지되고 있을 가능성이 높습니다.
한쪽을 적출한것만으로도 남겨진 신장의 능력이 100% 보전되어 있는 상태더라도 이 친구의 신장 능력은 50%로 감소한 상태입니다.
즉, 아무리 남겨진 신장이 100%의 능력을 가지고 있더라도 만성 신부전 상태로 가정해야 합니다.
그렇기 때문에 독성 물질을 배설하는 기능을 가진 신장에 무리를 주지 않기 위해서는 간식, 영양제, 보조제등 화학물질을 아이에게 먹이는게 아니라 정해진 사료만 먹이면서 산책의 시간을 늘리는 등 삶의 질을 높이는데에 주안점을 두는게 더 좋습니다.
주치의와 상의해 보시기 바랍니다.
안녕하세요. 이광섭 수의사입니다.
신장 기능 예방에 있어서는 가장 중요한 것이 주기적인 건강검진, 식이 입니다. 영양제는 영양제일 뿐입니다. 신장 적출 수술후에는 신장에 무리를 주는 음식(간식 가금적 주지 마세요), 신장 전용 사료나 습식 캔을 급여해주세요. 또한, 신부전을 예방하거나 관리하기 위해 신장에 도움이 되는 유산균이 들어있는 영양제를 급여할 수도 있습니다. 예를 들어, 아조딜이라는 제품은 신부전을 겪고 있는 반려동물을 위한 신장 영양제로, 장관 내 요독소를 대사시켜 혈액 내 요독성 용질을 효과적으로 감소시켜주는 역할을 합니다. 음수량도 중요하므로 평소 음수량도 잘 관리해주세요

