의료상담
찬물로 가글했더니 송곳니덧니쪽이 아픕니다.
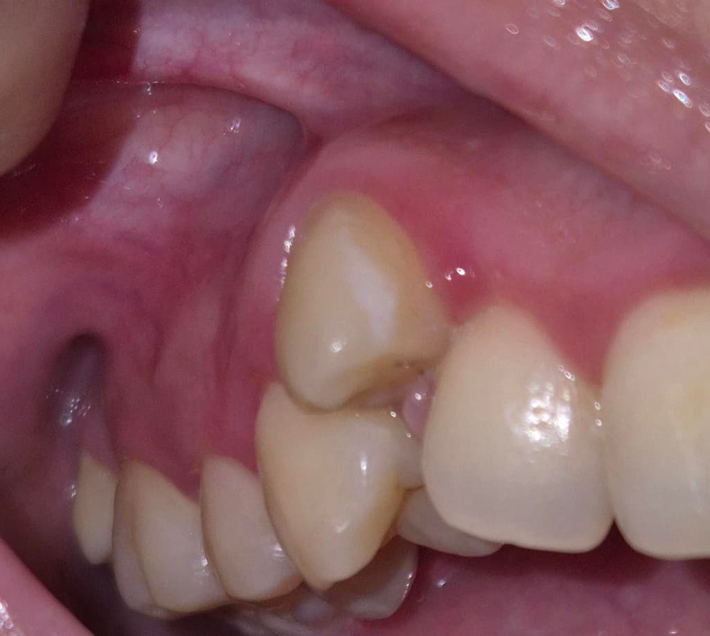
일요일부터 찬물로 가글 했는데 오른쪽 송곳니덧니쪽이 잇몸이 아픈건지 치아가 아픈건지... 엄청 아프더라구요
그냥 마시면 안아픈데 찬물로 가글을 하면 아픕니다.
그냥 있어도 안아프고 미지근하거나 살짝 시원한정도도 안아프고 음식씹을때도 안아픕니다. 찬물로 가글할때만 아파요
충치때문일까요? 잇몸에 그냥 염증일까요?
55글자 더 채워주세요.
3개의 답변이 있어요!
안녕하세요. 김지훈 치과의사입니다.
잇몸에 염증은 있는 것으로 보이며 관리가 어려워 보입니다. 교정도 생각해보시는 게 좋겠습니다.
안녕하세요. 안상우 치과의사입니다.
사진으로 봤을 경우에 잇몸과 치아의 경계 부위에 염증이 있는 것으로 보입니다. 윗몸의 염증은 잇몸 내부에 염증 물질로 인해서 생기게 됩니다. 치실을 사용해 주시고 치석으로 인해서 생기는 염증은 치과에서 스케일링으로 치석을 제거해 주는 것이 좋을 수 있습니다.
자세한 확인을 위해서 치과에서 진료를 받아보는 것을 권유드립니다.
안녕하세요. 최석민 치과의사입니다.
덧니로 인해 잇몸에 염증이 다소 있습니다 다만 잇몸 염증과 별개로 민감성치아이거나 치아에 실금이 가면 주로 찬물에 시린 반응이 있습니다

