아하
  • 토픽

  • 스파링

  • 잉크

  • 미션


의료상담

한결같이우수한라면

한결같이우수한라면

이빨 뿌리끝 염증인지 신경치료말고 주사라던지 해결책있을까요

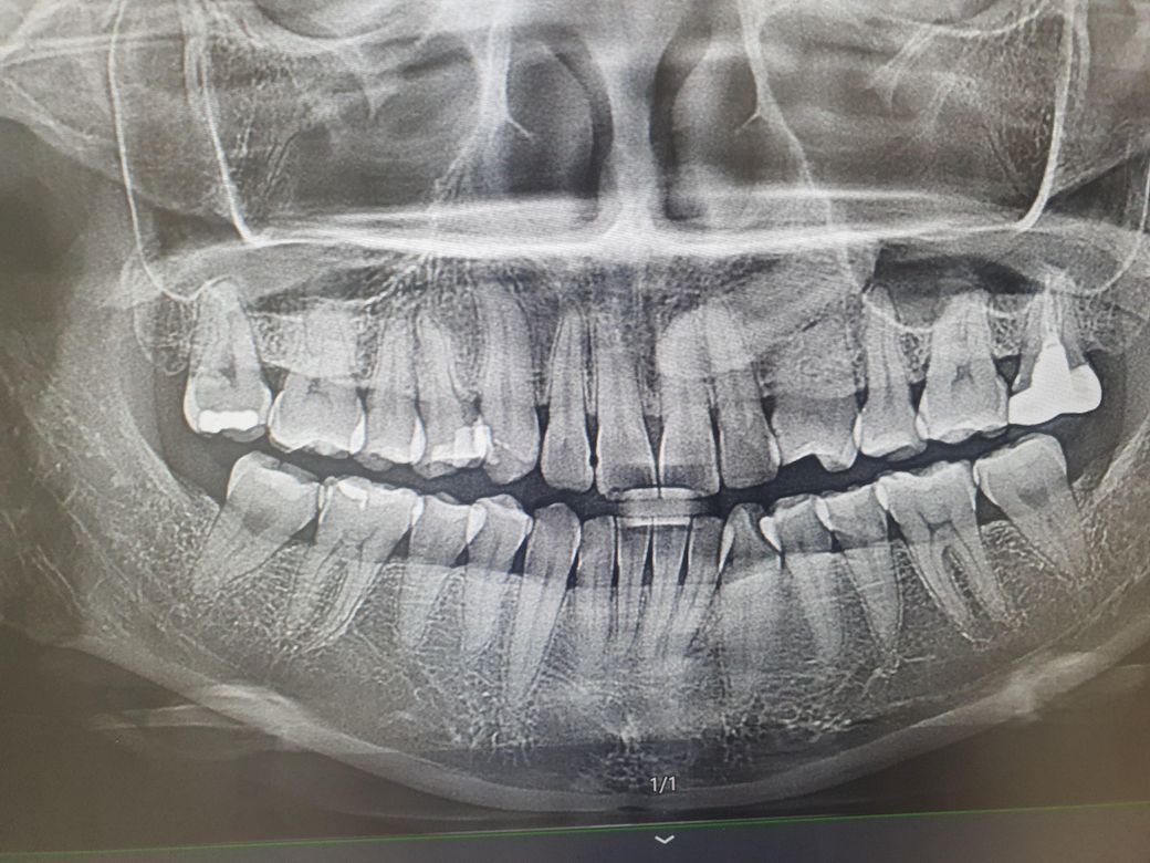
위 왼쪽에서 두번째이빨 자연치아구요 안쪽에 일자선 있지만 (크랙) 씹을때 불편하지 않았거든요 (부드러운거 위주먹음)

뿌리끝에검한데 잇몸이 안좋대서 스케일링 잇몸치료했는데(그냥 긁어내는데 금방끝나고 깊진않은듯요) 뿌리끝의 염증만 없애는 주사나 이런방법있을까요?저건 잇몸질환 또는 일반치아의 크랙으로 생기는걸까요?(신경치료 안하고싶어서요)

최근에 다니던곳 선생님이 위 두번째 이빨을 옆으로 평소와 다르게 새게?쳤는데. 당일저녁 이빨위잇몸이 붓고 심각하게 아파서 집앞 아무병원가서 처방으로 항생제먹고 괜찮아진 상태입니다 원래다니는 곳은 멀어서..이사한 집앞에서 바로 사진찍고 (아래사진)항생제 처방받은상태에요..

육안으로 치아충치없고 치석없고 잇몸부운건 세균이라고해서 일단 항생제 처방받았습니다

답변부탁드립니다! 미리감사드립니다ㅜㅜ

  • 1번 째 사진

3개의 답변이 있어요!

  • 김철진 치과의사

    김철진 치과의사

    가까운우리치과

    안녕하세요. 김철진 치과의사입니다.

    일단은 일시적으로 치아가 예민해져서 그럴수도 있으니 약을 먹고 일단은 기다려 보셔야될것같습니다.

  • 안녕하세요. 안상우 치과의사입니다.

    사진으로는 크게 이상이 없어 보입니다. 잇몸에 염증이 있다면 잇몸 치료 등으로 염증의 원인을 제거해주는 것이 잇몸의 부피를 줄일 수 있는 방법이 됩니다. 잇몸이 자극이 되어 불편감이 된 것이라면 자극을 줄여준다면 해당 증상이 줄어들 수도 있습니다.

    자세한 확인을 위해서 치과에서 진료를 받아보는 것을 권유드립니다.

  • 안녕하세요. 최석민 치과의사입니다.

    1. 뿌리주위 염증이 잇몸기원이라면 잇몸치료, 항생제 연고 주사, 약 복용 등이 처치방법입니다

    2. 치아기원이라면 신경치료는 불가피합니다