크라운이 빠졌는데 이빨이 까맣게 변해있어요
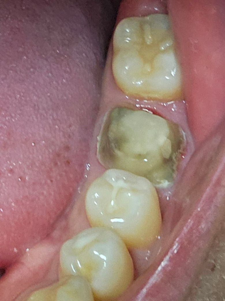
신경치료하고 크라운 씌운지 1년도 안됐는데 크라운이 밥 먹다가 빠졌어요. 크라운에서 편도결석 냄새도 나고 이빨은 사진처럼 검게 변했어요 코어 부분은 그나마 괜찮은거 같은데 원래 제 이빨이었던 부분들은 검게 변했는데 뭐가 잘못된걸까요?
크라운 씌울때도 처음 만들어진 크라운이 제 이빨에 안맞아서 맞추려고 아무리 갈아내도 안맞아서 다시 만들었지만 그것조차 불편해서 많이 갈아내고 억지로 끼운 느낌이 있었는데 평상시에도 안맞는 느낌이 계속 있었습니다. 또 신경치료할때는 이빨이 깊은곳까지 부러졌었다고 임플란트 필요할수도 있다고 했는데 최대한 살려보신다고 신경치료만하고 크라운만 씌운 상황이었습니다.
원래 신경치료한 치아는 검게 변한다고는 하는데 그냥 크라운만 다시 씌우면 되는 걸까요?
사진으로만 봤을 경우에 검은색은 충치라기보다도 치아색이 착색이 된 것일 가능성이 높습니다. 검은 부분을 모두 제거하려고 하다 보면 치아가 거의 남지 않게 되어 오히려 치아가 약해질 수 있기 때문에 충치가 아닌 착색된 부위라 함을 제거하지 않는 경우도 있습니다. 자세한 확인을 위해서 직화에서 진료를 받아보는 것을 권유드립니다
추가적인 충치가 발생하였을 가능성이 있기에 이 경우 추가적인 치료후에 크라운 치료가 필요로 됩니다. 만약 충치의 정도가 깊은 경우에는 재신경 치료가 필요로 됩니다.
궁금증 해소에 도움이 되시길 바라며, 도움이 되신 경우 '👍 ' 눌러주길 부탁드립니다.
안녕하세요 치과의사 김철진입니다. 사진에 보이는건 치아가 착색이되서 그러는거니 너무 걱정은 안하셔도 되고 관리가 안되서 염증떄문에 냄새가 나는거 같습니다. 치아를 다시 다듬어서 크라운만 교체를 하시면될것같습니다.
크라운 내부에 내부우식이 생긴 것이 의심됩니다.
어두운 부분은 좀 제거하고 코어를 다시 한 후에
크라운을 재제작하는게 좋아보입니다.

