의료상담
앞에 인플란트 괜찬을까요?????
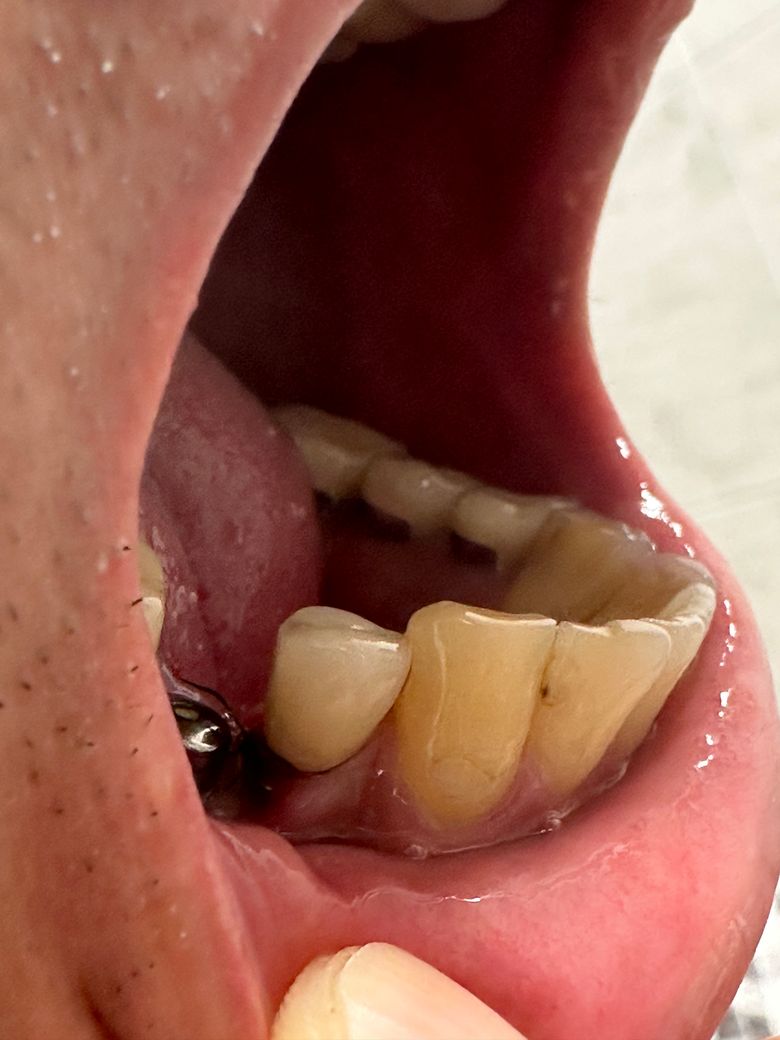
발치후 바로 식립 10차 입니다
앞 이빨은 인플란트 인데 잇몸살이 많이 내려가서
걱정입니다 아직 실밥은
있는 상태이며 다시 잇몸살이 차오를까요??
55글자 더 채워주세요.
4개의 답변이 있어요!
안녕하세요. 김지훈 치과의사입니다.
어느정도는 차오르게 됩니다. 현재로선 특별한 증상이 없다면 기간을 두고 지켜보시는 게 최선 입니다.
안녕하세요. 송우식 치과의사입니다.
네 시간이 지나면 잇몸이 차오르기에 걱정하지 않으셔도 됩니다. 잇몸이 차오르는데는 시간이 필요로 되며 3개월이상 시간이 필요로 됩니다.
궁금증 해소에 도움이 되시길 바라며, 도움이 되신 경우 ‘추천’ 부탁드립니다. 감사합니다.
안녕하세요. 김철진 치과의사입니다.
임플란트 하신지 얼마 안되서 잇몸이 부은상태이신거 같습니다. 붓기가 가라 앉으면 괜찮아 지실꺼에요.
안녕하세요. 치아를 사랑하고 아끼는 치과의사 최석민입니다.
잇몸살은 평균적으로 봉합을 풀때쯤(1~2주) 차오릅니다
발치후 즉시 식립을 하고, 1차수술을 하면서 뚜껑을 높이가 높은것(원래는 2차수술에서 햐는 것, 힐링어버트먼트)을 달아둔 것으로 보아 굉장히 빠르게 임플란트 치료가 진행중인것 같습니다 뼈 상태가 좋고 드릴링 상태가 양호하게 되었다는 판단하에 그렇게 할 수 있습니다
다만 사진상으로는 바로 옆 임플란트는 주위 염증이 생겨 잇몸과 잇몸뼈 높이가 다소 내려간 것으로 보입니다 이와 관련하여 임플란트를 심은 치과에서 잇몸치료 등 관리를 받으실 필요가 있어보입니다

