한달 뒤에 뽑으면 발치가 더 어려워지나요
신경이랑 닿아있다고 하더러구요
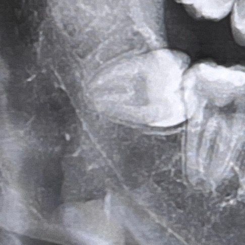
나이는 만 20세입니다
유착이 심하거나 뽑을 때 오래걸릴까요...???
반대쪽 뽑을때 너무 공포였어서 걱정되네요 ㅠㅠ
안녕하세요. 김철진 치과의사입니다.
만20세 라면 치아가 한달뒤라고 해서 유착이 되거나 그렇진 않습니다. 크게 차이는 없습니다.
1명 평가안녕하세요. 송준범 치과의사입니다.
뿌리도 콘처럼 모여서 뾰족하고 유착없이 치주인대강도 잘 보이는데요. CT를 찍어봐야 알겠지만 신경관과 완전히 붙어있지는 않아보입니다. 신경손상의
가능성이 없는 것은 아니지만 큰 무리없이 발치할 수 있을 것으로 보이는데요. 다만 발치라는 것이 아무리 좋은 조건에서 시작한다고 하여도 얘기치 못한 상황이 닥칠수는 있기 때문에 크게 걱정하실 필요는
없지만 발생 가능한 문제점들에 대해서는 어느정도 인지하고 계셔야 하겠습니다.
반대쪽 발치하셨을 때 아팠다고 이번에 발치하는 치아도 아프리란 법은 없으니 우선 너무 걱정하지마시고 치료를 잘 받으시길 바라겠습니다.
마지막으로 뼈는 나이가 틀면서 탄성이 줄어 단단해지기 때문에 발치가 비교적 힘들어지고 치유도 더 늦어집니다. 또한 앞으로 누워서 나있기 때문에 앞치아와의 사이에 염증이나 충치가 발생할 가능성이 있어서 이 점도 알고계시면 좋을 것 같습니다.
1명 평가안녕하세요. 최석민 치과의사입니다.
한달뒤 뽑는다고 더 어려워지진 않습니다
사랑니 유착은 긴 시간에 걸쳐 일어납니다
만 20세면 유착이 심하지 않을 것이고 사진상으로도 그래보입니다
1명 평가안녕하세요. 김지훈 치과의사입니다.
한달이 더 지난다고 하여 치아를 뽑기가 더 어려운 것은 아니지만 신경과 가까우니 사랑니 전문 치과 가시는 게 좋습니다.
안녕하세요. 안상우 치과의사입니다.
사랑니가 기울어져 나 있어. 난이도가 높은 발치로 보입니다. 하지만 나이가 어리고 뿌리가 모아져 있기 때문에 나오는데 크게 문제가 되진 않을 것으로 생각됩니다. 자세한 확인을 위해서 치과에서 진료를 받아 오는 것을 권유드립니다.

