의료상담
구강암인가요? 아니면 구내염인가요?
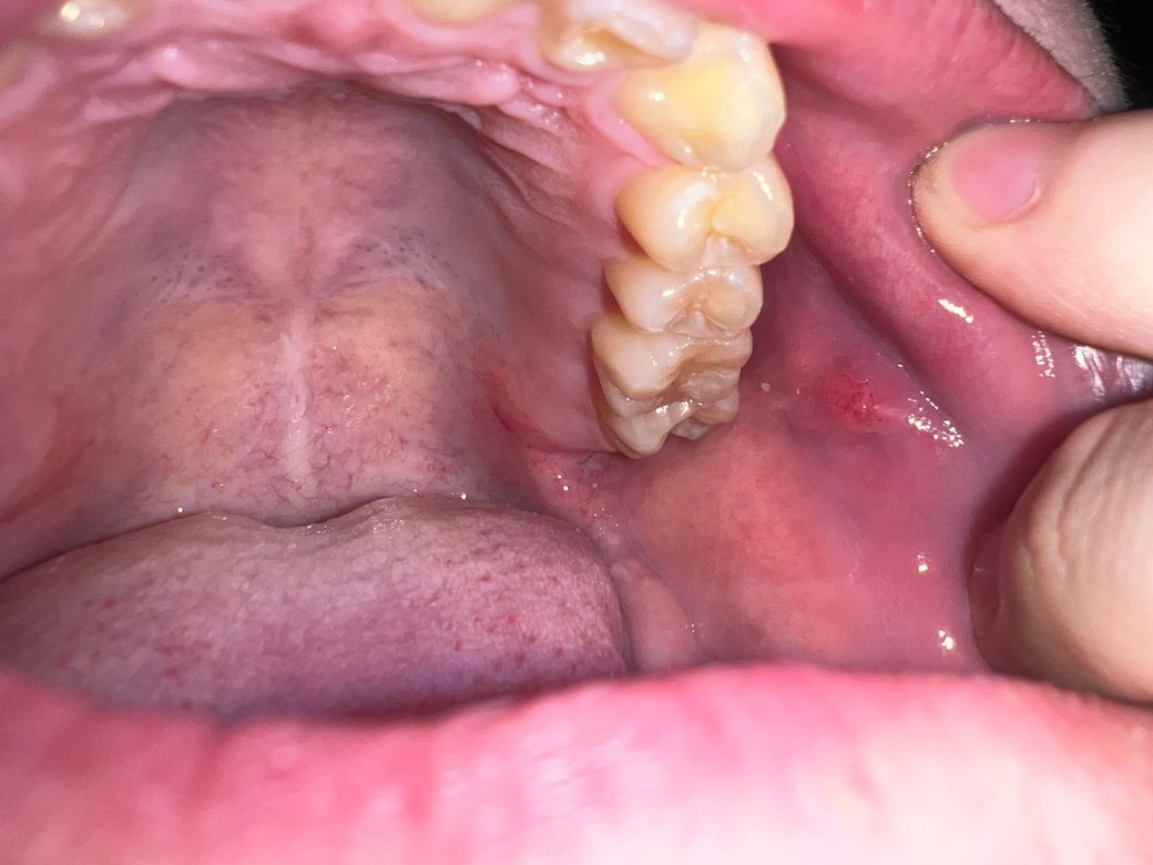
오늘 밥을 먹다가 볼 점막에 혹 처럼 만져지는 게 있어서 사진을 찍었습니다. 사진에서는 잘 안 보이지만 원래 점막을 찢고 나온 거 처럼 아래에 하얀 점막이 보이고 툭 올라온 것에는 붉고 작은 반점이 보입니다 그리고 혀로 건드려도 아프지 않고 딱딱한 게 느껴집니다
55글자 더 채워주세요.
2개의 답변이 있어요!
안녕하세요. 송준범 치과의사입니다.
Stensen duct로 보여집니다.
걱정은 안하셔도 되겠고 침이 나오는 곳이라고 생각하시면 되겠습니다.
1명 평가안녕하세요. 송우식 치과의사입니다.
사진상 구내염으로 보이며, 충분한 휴식과 영양섭취를 권합니다. 염증이 덧나지 않도록 소독용 가글인 헥사메딘 가글액으로 가글을 하여 관리하고, 만약 2주이상 사라지지 않는 경우에는 치과 진료를 권합니다.
만족스러운 답변되셨으면 합니다.
<평가> 감사합니다.

