의료상담
55글자 더 채워주세요.
2개의 답변이 있어요!
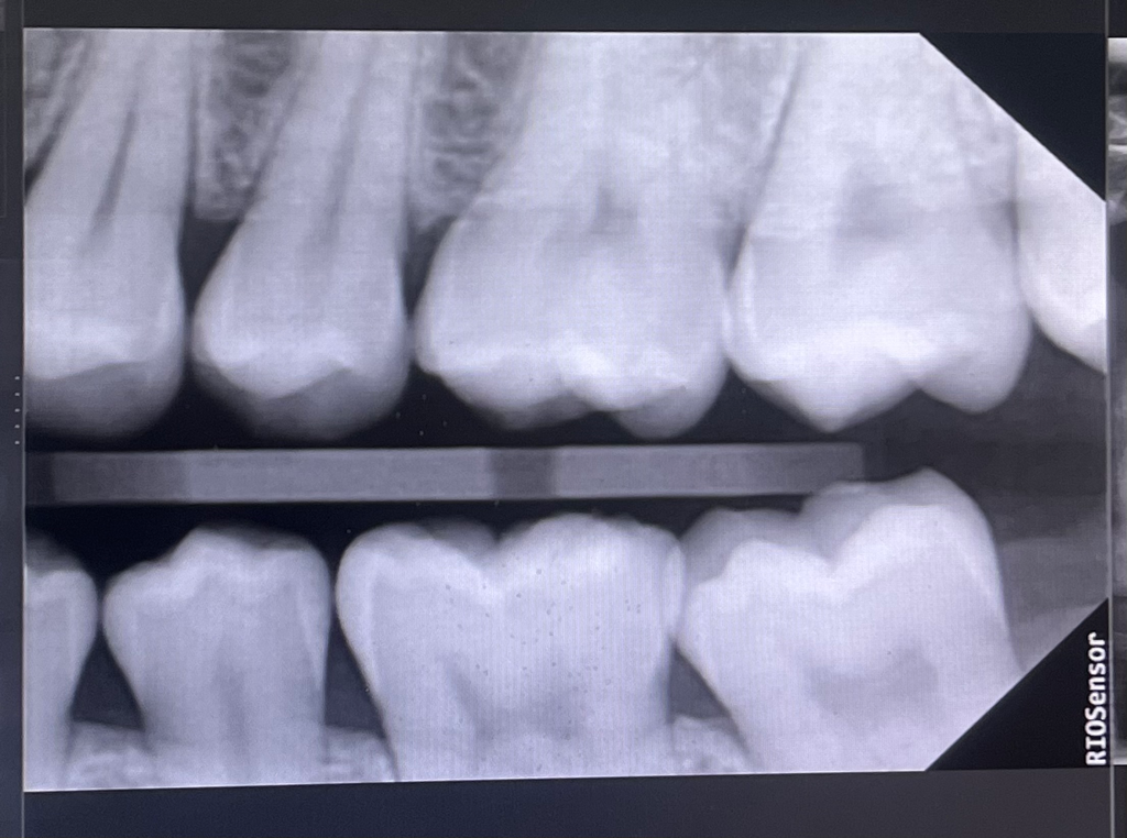
안녕하세요. 김철진 치과의사입니다.
엑스레이 상으로는 큰 인접면 충치는 보이지 않습니다. 일단 자켜보시는게 좋을것같습니다
안녕하세요. 김지훈 치과의사입니다.
인레이가 필요한 것으로 보이지는 않습니다만 사진의 해상도에 따른 진단의 차이가 있으니 한곳만 더 가보시는게 좋겠습니다.


안녕하세요. 김철진 치과의사입니다.
엑스레이 상으로는 큰 인접면 충치는 보이지 않습니다. 일단 자켜보시는게 좋을것같습니다
안녕하세요. 김지훈 치과의사입니다.
인레이가 필요한 것으로 보이지는 않습니다만 사진의 해상도에 따른 진단의 차이가 있으니 한곳만 더 가보시는게 좋겠습니다.