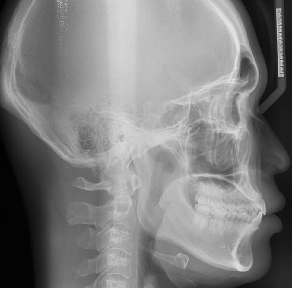
치과에서 하악골이 길다는데 얼마나 긴지 알수있나요?
1)치과 교정상담중에 하악골이 상악에 비해 길다는데 이게 얼마나 긴 건지 알 수 있나요?
지금 사진결과만으로는 힘든가요?
2)치과선생님들마다 정밀상담결과가 다른 것 같은데 아하선생님들은 경험상 어떻게 평가하시는지 물어보고싶습니다. (어떤분은 3급부정교합 골격이다 어떤분은 정상범위이다, 아랫턱이 길다 평하십니다.)
3) 선생님들 경험 소견으로 제가 하악부근이 긴편에 속하나요??
4) 제가 약간 턱을 드는 습관이 있는데 이게 하악턱이 길어서 그렇게 보이는건지 아니면 그냥 제 거북목때문인지 또는 그냥 습관인지 그런 연구결과가 있나요??
안녕하세요. 김철진 치과의사/경제·금융전문가입니다.
1)치과 교정상담중에 하악골이 상악에 비해 길다는데 이게 얼마나 긴 건지 알 수 있나요?
지금 사진결과만으로는 힘든가요?
-사진많으로 평가는 불가능하며 분석을 하게되면 정상 범주보다 어느정도 오차가나는지 알수잇습다. 그 오차가 생기면 교정을 하는거죠
2)치과선생님들마다 정밀상담결과가 다른 것 같은데 아하선생님들은 경험상 어떻게 평가하시는지 물어보고싶습니다. (어떤분은 3급부정교합 골격이다 어떤분은 정상범위이다, 아랫턱이 길다 평하십니다.)
-사진상으로는 크게 문제가 없어보입니다
3) 선생님들 경험 소견으로 제가 하악부근이 긴편에 속하나요??
-크게 길어보이진 않습니다
4) 제가 약간 턱을 드는 습관이 있는데 이게 하악턱이 길어서 그렇게 보이는건지 아니면 그냥 제 거북목때문인지 또는 그냥 습관인지 그런 연구결과가 있나요??
-위에도 설명드렷듯이 교정분석을 통해서 알수잇습니다
안녕하세요. 안상우 치과의사/경제·금융전문가입니다.
하악턱이 발달되어 있는 것은 맞지만 부정교합을 유말할 정도는 아니기 때문에 정상범주 내에 있는것으로 보입니다.
교정의 필요유무는 심미적으로 필요하다고 생각한다면 필요할수도 있는것이기 때문에 주관적인 면이 많이 작용합니다.
안녕하세요. 정진석 치과의사입니다.
1. 해당 정보를 알기 위해서는 계측점에 따른 수치가 필요합니다. 현재 ceph. 사진에 계측점에 따른 값이 나와 있지만 어느점을 기준으로 했는지에 따라 다르므로 계측을 직접해보아야 합니다.
2. 현재 수치만으로 보았을 때는 하악골이 과다하게 발달 한 것보다는 상악골이 덜 발달했을 가능성이 있어 보입니다.
3. 긴편에 속하지 않습니다. 상악골이 덜 발달 되어 길어보이는 것으로 보입니다.
4. 습관이나 거북목에 의해서 현재 보이는 부분이 부각되어 보일 수 있습니다.
아무쪼록 저의 답변이 문제 해결에 작게 나마 도움이 될 수 있기를 기원드립니다. 항상 건강하고, 행복하세요^^
정진석 치과의사 드림

