의료상담
사랑니 발치 후, 이거 제대로 아물고있는게 맞나요
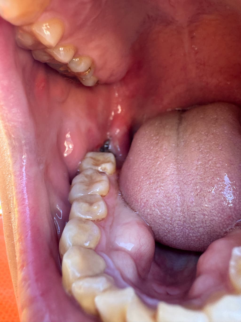
어제 뽑고 하루 지났어요,
제대로 아물고 있는게 맞나요, 혈병 상태도 괜찮은가 궁금하네요, 혹시 제대로 아물고 있는게 맞을까요?
55글자 더 채워주세요.
4개의 답변이 있어요!
안녕하세요. 최석민 치과의사입니다.
어제 뽑고 하루 지났어요,
제대로 아물고 있는게 맞나요, 혈병 상태도 괜찮은가 궁금하네요, 혹시 제대로 아물고 있는게 맞을까요? -> 지금으로선 문제 있어보이진 않아요 완전히 아물려면 한달은 있어야 합니다
1명 평가안녕하세요. 안상우 치과의사입니다.
사진으로 봤을 경우에는 크게 문제가 없이 아물고 있는 것으로 보입니다. 발치한 부위가 잘 아물기 위해서는 자극되지 않는 것이 좋습니다. 대부분의 발치를 한 통증은 3~4일 정도 지나면 없어지게 되며 발치한 부위가 아무는 데는 2주 정도의 시간이 걸리게 됩니다.
안녕하세요. 김지훈 치과의사입니다.
사랑니 발치 후 사진상으로는 문제 없이 잘 낫고 있는 것으로 보입니다. 걱정안하셔도 될 듯 합니다.
안녕하세요. 김철진 치과의사입니다.
사진상으로 발치한곳은 잘아물고 잇는거 같으니 자극만 가지 않도록 해주시면될것같습니다.

