아하
  • 토픽

  • 스파링

  • 잉크

  • 미션


의료상담

갈수록자라나는운동가

갈수록자라나는운동가

신경치료한 치아 상태 괜찮은걸까요?

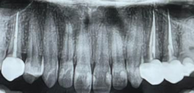
잇몸에 염증이 있는 것은 아닌지 궁금합니다 ㅠㅠ 우측 2개 신경치료한 부분은 손으로 흔들면 살짝 욱신거리고 씹을 땐 문제 없습니다. 좌측은 그냥 멀쩡해요. 신경치료 4개월차입니다. 사진을 확대하셔야 신경치료 치아 3개가 보이실 것 같습니다 ㅠㅠ

  • 1번 째 사진

3개의 답변이 있어요!

  • 안상우 치과의사

    안상우 치과의사

    목동안치과의원

    안녕하세요. 안상우 치과의사입니다.

    사진으로 봤을 경우에는 크게 문제가 없는것으로 보입니다. 하지만 사진의 화질이 좋지 않고 왼쪽의 뒤의 치아는 뿌리부분이 어두워 보이기 때문에 좀더 정확한 확인이 필요해 보입니다. 

  • 안녕하세요. 김철진 치과의사입니다.

    엑스레이 상으로 신경치료도 잘되어잇고 문제가 잇어 보이진 않습니다. 관리만 잘하시면될것같습니다.

  • 안녕하세요. 최석민 치과의사입니다.

    세개 다 엑스레이상 큰 문제는 보이지 않습니다 다만 엑스레이에 보닐정도면 진행이 꽤 된 염증상태입니다 엑스레이에서 보이지 않을 정도의 치아 염증일 수도 있습니다