아핫뉴스실시간 인기검색어
아핫뉴스 화산 이미지
화산 아이콘 11
지상렬, 신보람과 열애
아하

의료상담

치과

이편한세상에서살기
이편한세상에서살기

신경치료 회복 과정 봐주실 수 있을까요?

1번째 사진은 치료 전 전체적인 파노라마 사진입니다.

2번째 사진은 치료 전 치근단 사진입니다.

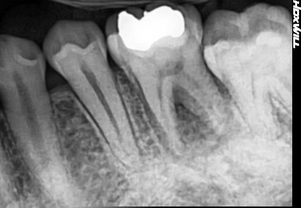
3번째 사진은 치료가 끝난 직후 치근단 사진입니다.

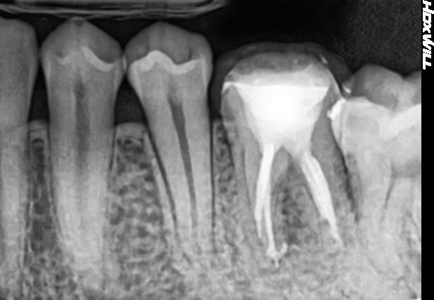
4번째 사진은 치료가 끝나고 6주 뒤의 사진입니다.

치아 회복이 잘 되고 있는 것인지 의사 선생님의 견해를 듣고 싶습니다.

현재 임시치아 상태로 6주간 썼고, 음식물을 씹을 때 단단한 음식을 제외하고는 통증은 없습니다.

다만 걱정이 되는건 3에서 4번째 사진으로 넘어갈때 치아 중앙부 중간부분(가운데 큰 약재 바로 밑부분)에 색깔이 좀 달라보입니다. 혹시 치아 금은 아니겠죠?

  • 1번 째 사진
  • 2번 째 사진
  • 3번 째 사진
  • 4번 째 사진
3개의 답변이 있어요!
  • 안녕하세요. 안상우 치과의사입니다.

    사진을 찍을때는 사진의 각도에 따라서 특정부위가 어두워보일수 있습니다.

    통증이나 불편감이 없다면 크게 문제는 없는것으로 보입니다.

    1명 평가
  • 안녕하세요. 김철진 치과의사입니다.

    사진상으로 보면 치아 뿌리끝 염증이 없어지는 양상을 띄는거 같습니다. 잘 치료 된거 같으니 너무 걱정하지마세요.

    1명 평가
  • 안녕하세요. 최석민 치과의사입니다.

    해당부위의 투과상은 엑스레이 찍는 각도에 따라서 다르게 보이기도 하는 부분입니다.

    더 눈여겨봐야할 부분은 치아 뿌리 부위의 투과상인데 3->4에서 치아 뿌리 부위 염증이 다소 개선되고 있는 부분이 관찰됩니다. 좀 더 증상은 지켜보면 좋을 것 같습니다.

    1명 평가