아핫뉴스실시간 인기검색어
아핫뉴스 화산 이미지
화산 아이콘 11
김기현 부부 기소
아하

의료상담

내과

놀라운매사촌125
놀라운매사촌125

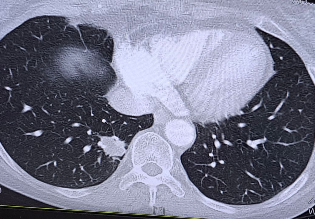
폐ct판독부탁드립니다. 폐암가능성

성별
여성
나이대
60

폐CT촬영 후 폐암으로 의심되어 조직검사를 앞두고있습니다.

조직검사까지 일정이 많이 남아 다른 분들의 소견을들어보고싶습니다.

도움부탁드립니다. 감사합니다.

  • 1번 째 사진
2개의 답변이 있어요!
  • 결절의 크기가 상당히 큰 것 같습니다. margin도 뾰족뾰족하구요

    악성의 가능성이 있는 것 같습니다

    조직검사를 통하여 확인이 필요할 것 같습니다

  • 우측 폐에 결절 소견이 관찰되고 있습니다. 악성 가능성을 염두해두고 조직검사를 해볼 필요가 있는 소견입니다. 영상을 높고 악성 여부를 판단하기는 어렵습니다.