아하
  • 토픽

  • 스파링

  • 잉크

  • 미션


의료상담

비상하는 올빼미862

비상하는 올빼미862

미용 교정 및 양악 치과상담 결과 질문이요

미세돌출입 때문에 3군데에서 교정상담을 받았는데 치아교합이 전체적으로 좋고 치아각도도 좋다고 했습니다 대신 앞니치근이 짧고 약간의 하악비대칭이있다고 했습니다.

A치과는 평균남성보다 하관이 크고 조금 턱이 나와서 입이 전체적으로 나와보이는 거라서 구강악안면외과가서 양악이나 윤곽수술상담을 받아보라고 했습니다.

B치과는 비발치로 전체치아를 사랑니 공간으로 후반이동하면 2~3mm들어아서 입이 좀 들어가 보일거라고 했습니다.

C치과는 지금상태 괜찮아 보인다고 아무것도 하지 않기를 권장했습니다.

아하에서 의사님들 생각은 어떠한지 참고하고 싶어 글 적어봤습니다.

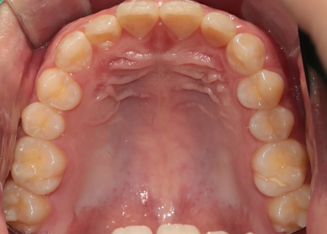
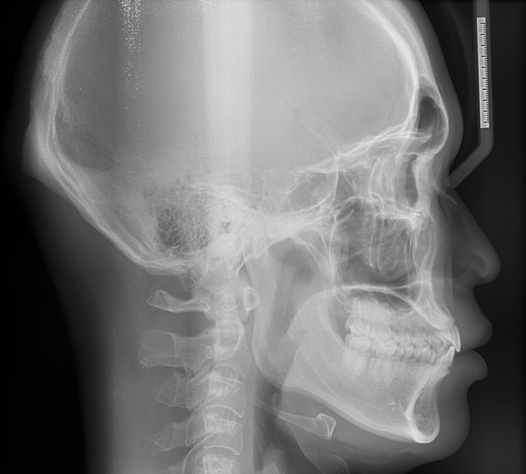
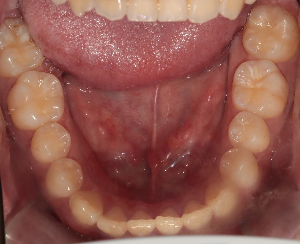
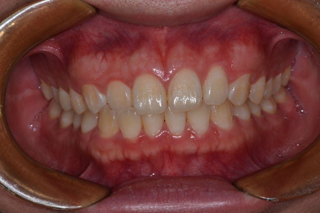
  • 1번 째 사진
  • 2번 째 사진
  • 3번 째 사진
  • 4번 째 사진
  • 5번 째 사진
  • 6번 째 사진
  • 7번 째 사진
  • 8번 째 사진

5개의 답변이 있어요!

  • 박종열 치과의사

    박종열 치과의사

    안녕하세요. 박종열 치과의사입니다.

    교정만 하게 된다면 약간의 돌출입은 어느정도 해소 조금은 될 것이지만

    무턱 주걱턱은 교정하면 조금은 턱이 나와 보이는 것처럼 보일 수 있거나 턱이 들어간 것처럼 보일 수 있지만

    사실은 미미한 효과이며 턱의 외형을 바꾸고 싶다면 악교정수술을 받으시는 것이 훨씬 더 드라마틱한 효과를 보실 수 있습니다.

    답변이 도움이 되셨다면 답변 채택 부탁드립니다.

    감사합니다.

  • 안녕하세요. 김바른 치과의사입니다.

    일단 자료를 통해 계측한 데이터가 없으므로 계략적으로만 의견 드리겠습니다.

    하악이 약간 돌출된것으로 보이나 무조건 수술을 해야하는 경우로 보이진 않습니다. 본인이 원하시는 것이 무엇인지를 결정하시는게 중요하겠습니다.

    안모의 드라마틱한 변화를 원할 경우 수술쪽이 효과적이며 그렇지 않은 경우에는 굳이 수술로 결정할 이유는 없어보입니다.

    개인적으로는 안모가 괜찮아보이고 치열도 고르기때문에 굳이 수술이나 교정이 필요한 상황인지 의문입니다.

  • 안녕하세요. 정진석 치과의사입니다.

    세가지 치과 모두 맞는 말입니다. 지금 보여주신 자료를 종합해보면 경미한 3급 부정교합입니다.

    이 상태에서 교정도 가능하고 양악도 가능하지만 치료 이후 변화되는 모습에는 한계가 있습니다. 또한 부정교합 및 골격부조화가 심하지 않으므로 심미적으로 불편감이 없다면 3번 치과처럼 치료하지 않아도 됩니다. 물론 심미적으로 문제가 된다고 생각한다면 이때는 두가지 방법 모두 가능합니다.

    다만 양악수술은 확실히 골격 부조화를 잡아줄 수 있다면 교정에는 한계가 있으니 전문가와 상담이 필요합니다.

    아무쪼록 저의 답변이 문제 해결에 작게 나마 도움이 될 수 있기를 기원드립니다. 항상 건강하고, 행복하세요^^

    정진석 치과의사 드림

  • 안녕하세요. 김철진 치과의사/경제·금융전문가입니다.

    기능상으로 문제가 없으시다면 교정은 환자분의 선택이신거 같습니다. 사진으로보면 크게 문제는 없어보입니다. 하지만 비대칭이 있으시다면 교정을 생각해보시것도 좋겠지만 제 개인적인생각으론 교정이 크게 필요해보이진 않습니다

  • 안녕하세요. 이정현 치과의사입니다.

    현재 돌출입 자체를 개선하기 위한것이라면 양악을 하기엔 아깝고, 2번째 치과에서 설명하신 방법이 좋아보입니다.

    하지만 개인적으로는 3번째 치과의 견해처럼, 교정이 필요해보이진 않습니다. 우측 측절치가 반대교합이긴 하지만, 교정여부는 본인의 심미적인 개선의 의지에 따라서 달라질 것 같습니다.

    답변이 도움이 되길 바랍니다. 감사합니다.