의료상담
55글자 더 채워주세요.
3개의 답변이 있어요!
안녕하세요. 김지훈 치과의사입니다.
충치가 많이 진행된 상태로 신경치료까지 가기전에 바로 치료를 받으시는 것이 좋겠습니다.
안녕하세요. 치아를 사랑하고 아끼는 치과의사 최석민입니다.
신경까지 진행되지 않은 충치는 보통 충치를 제거하고 재료로 떼우는 간단한 수복 치료입니다
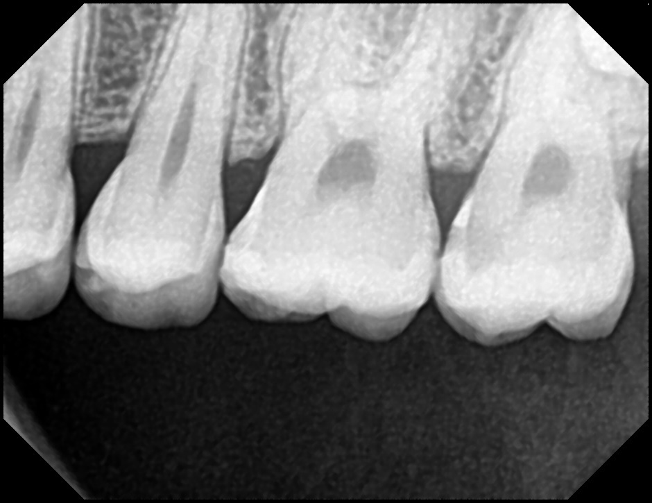
평소 생활할 때 뜨거운 것이나 차가운 것에 민감한 반응을 보이거나 불편감이 1분이상 오래 지속되었다면 이는 충치가 신경에도 영향을 주었다는 것인데 그렇지 않다면 아주 깊은 충치는 아닌 것입니다.
이와는 별개로 방사선 사진 상 치수강 위축이 관찰됩니다 이는 평소 딱딱한 음식을 자주 먹은 경우 잘 나타나는 증상입니다. 너무 딱딱하거나 질긴 음식은 자제하시기 바랍니다
안녕하세요. 김철진 치과의사입니다.
충치가 많이 진행된거 같습니다. 신경치료를 해야될 가능성이 높으니 빨리 치료를 하시는게 좋을것같습니다.

