아핫뉴스실시간 인기검색어
아핫뉴스 화산 이미지
아하

의료상담

내과

직박너구리1
직박너구리1

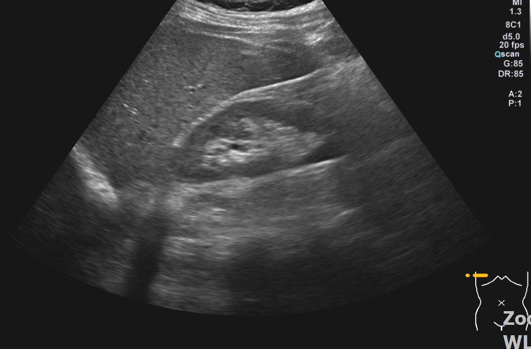
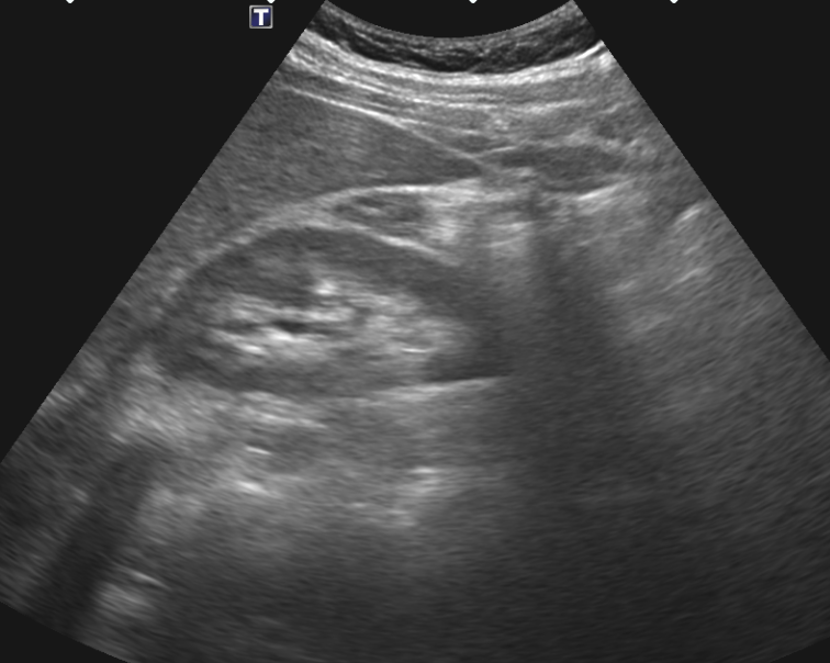
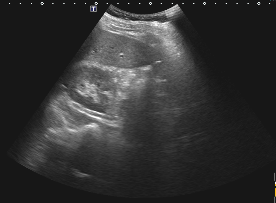
복부초음파 검사했는데요 초음파상 오른쪽신장 부근 사진인데 신장물혹이 보이나요?

성별
남성
나이대
33

복부초음파와 Mri를 했는데요

복부초음파상에는 경도지방간만 나오고

Mri는 오른쪽신장에 0.6cm단순물혹 있다고했는데

혹시 복부초음파 오른쪽 신장부근 사진몇장올리는데.. 혹시 물혹이 보이시나요?

그리고 마지막사진 오른쪽 옆구리 맨윗부분 겨드랑이쪽 검사사진 중간에 검은점 저것은 무엇인가요.?

  • 1번 째 사진
  • 2번 째 사진
  • 3번 째 사진
  • 4번 째 사진
1개의 답변이 있어요!
  • 안녕하세요. 채홍석 가정의학과 전문의입니다.

    업로드해주신 증상의 설명과 자료는 잘 보았습니다

    복부초음파 사진 여러 장 올린 것에 신장낭종은 잘 보이지 않는 것 같습니다

    그리고 "오른쪽 옆구리 맨윗부분 겨드랑이쪽 검사사진 중간에 검은점" 는 어느 부분을 가리키는지

    알 수가 없어서 드릴 말씀이 없네요