아핫뉴스실시간 인기검색어
아핫뉴스 화산 이미지
아하

의료상담

내과

직박너구리1
직박너구리1

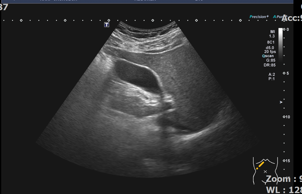
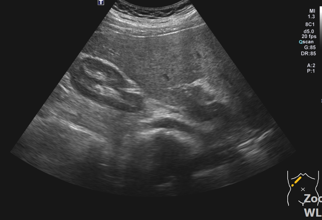
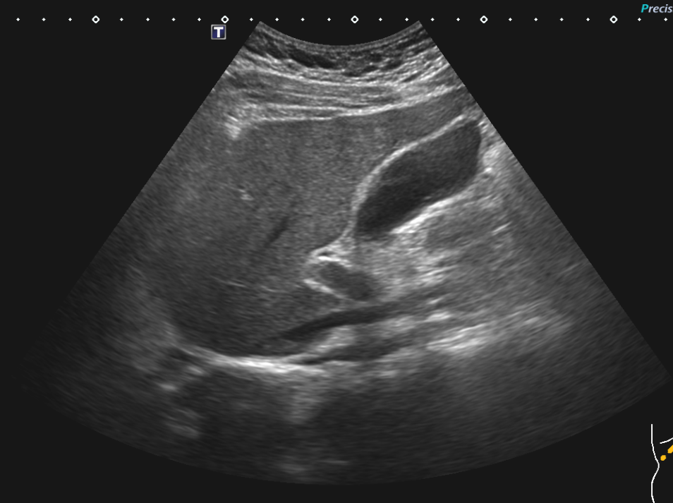
복부초음파 이부위가 오른쪽 상복부맞나요? 신장도 볼수있는자리인지

성별
남성
나이대
33

복부초음파 이 부위가 신장도 볼수있는 위치인가요? 오른쪽 상복부 맞죠?

신장에 단순 물혹 0.6cm가 mri 에서 보였는데 복부초음파에는 안보이는것같아서용

뭐가보이나요? 부위 사진 캡쳐하고 4장 같은부위 촬영사진 올려요

  • 1번 째 사진
  • 2번 째 사진
  • 3번 째 사진
  • 4번 째 사진
  • 5번 째 사진
1개의 답변이 있어요!
  • 안녕하세요. 채홍석 가정의학과 전문의입니다.

    업로드해주신 증상의 설명과 자료는 잘 보았습니다

    6mm 낭종은 작아서 초음파에서 보일 수도 있고 보이지 않을 수도 있습니다

    맨 위 사진의 위치에서는 probe를 tilting을 하면 신장이 보이기는 하지만

    그 보다는 신장의 관찰을 위해서 probe를 조금더 아래 level로 가지고 갑니다.