아하
  • 토픽

  • 스파링

  • 잉크

  • 미션


의료상담

후덕한올빼미201

후덕한올빼미201

치아 색상 몇단계 정도인가요? (사진 주의)

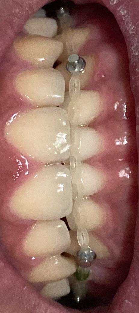
치아가 누런 편인데 몇단계 정도 될까요

물론 사진이라 정확히 판단이 어렵다는 것 알고있고 참고로만 하겠습니다

대충 몇단계쯤 될까요? (자연광입니다)

  • 1번 째 사진
  • 2번 째 사진
  • 3번 째 사진

2개의 답변이 있어요!

  • 김철진 치과의사

    김철진 치과의사

    가까운우리치과

    안녕하세요. 김철진 치과의사입니다.

    자연광상태에서 이정도라면 치과에서 색상을 보는 a3정도는 되신거 같은데요 미백을 하실정도는 아니신거 같습니다.

  • 안녕하세요. 정진석 치과의사입니다.

    해당 사진으로는 색상 자체를 판단하기가 상당히 어렵습니다. 사진 촬영 전에 어떠한 조명에 의해서 나타나는지에 따라서 다르기 때문입니다. 사진 상으로는 A3~A.35 정도로 보여지나 정확한 것은 치과 방문 후 상담을 해보셔야 합니다. 또한 치아의 부분에 따라 색상이 다릅니다.

    아무쪼록 저의 답변이 문제 해결에 작게 나마 도움이 될 수 있기를 기원드립니다. 항상 건강하고, 행복하세요^^

    정진석 치과의사 드림