의료상담
사랑니 뽑고 안에 흰 치아?가보여요!
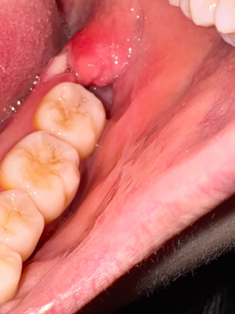
2025년 2월 12일에 발치를 했습니다. 서서히 괜찮아지는것같아서 칫솔질도 몇번 사랑니 주변으로 하고 근데 오늘 조금 많이 건들이고 코를 쎄게 풀어서그런지 피가 나는것같아서 후레쉬를 키고 이를 확인했는데 흰색 어떤것이보여서 만져보았습니다
이처럼 딱딱합니다. 혹시 이거 다시 뽑아야하나요?
사랑니인가요..?
55글자 더 채워주세요.
5개의 답변이 있어요!
안녕하세요. 송우식 치과의사입니다.
현재 사랑니일 가능성도 있으나, 치유중이 조직일 가능성이 높습니다. 새로운 조직이 자리를 잡아가면서 단단하게 만져질수 있습니다. 만약 해당부위에 붓기 통증 출혈이 있는 경우에는 치과 진료를 권합니다.
만족스러운 답변되셨으면 합니다.
평가 감사합니다
1명 평가안녕하세요. 김철진 치과의사입니다.
사랑니 발치를 하고나서 잇몸뼈가 과하게 증식되서 생긴 현상같습니다. 치과에 가셔서 마취후에 다듬으시면될것같습니다.
안녕하세요. 안상우 치과의사입니다.
사진으로 봤을 경우에는 해당 부에 잇몸에 상처가 있는 것으로 보입니다. 사랑니를 발치하고 발치를 한 부위는 완전히 안 오는데 이 주 정도가 걸리기 때문에 그동안 해당 부위에 자극을 하지 않는 것이 좋습니다.
안녕하세요. 김지훈 치과의사입니다.
아무래도 뼈가 밖으로 보이는 것 같습니다. 보통은 아물지만 그대로면 치과를 내원해보셔야 합니다.
안녕하세요. 송준범 치과의사입니다.
딱딱하다면 치아 머리 파편일 가능성도 있긴 하겠습니다만 아직 2주정도 밖에 안되었으니 통증이 없다면 조금 더 지켜보셔도 괜찮겠습니다.

