아하
  • 토픽

  • 스파링

  • 잉크

  • 미션


의료상담

활발한타킨262

활발한타킨262

24.04.29

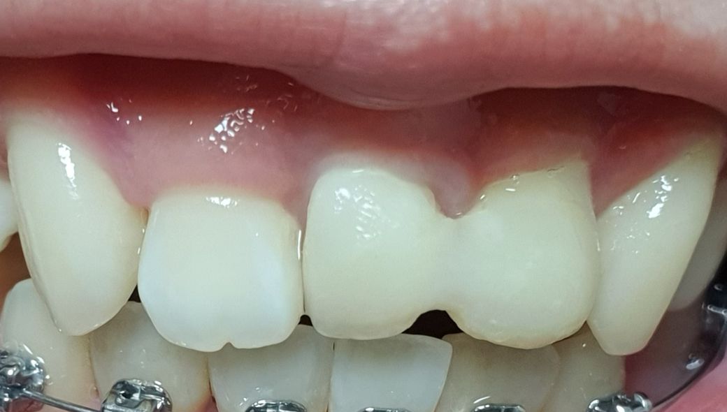
임시치아 이렇게 됐는데 치과 가야할까요?

안녕하세요

저는 이런저런 이유로 앞니를 발치하고 교정 진행 중인데요

사진 보시면 앞니 뽑은 자리에 뽑은 이빨을 임시로 브릿지처럼 달아서 그 이빨을 갈면서 공간을 좁히고 있거든요

(작은앞니가 대문니 자리로 오는 방식)

그래서 저번주에 치과가서 임시치아를 갈았는데

4주치를 갈았는데 일주일만에 이빨이 다 이동해서요;; 빈틈이 없이 붙어버렸네요

이럴경우 치과 가야하나요?

다음 예약은 5월 20일이라 예약 당기긴 해야하는데

빨리 갈수록 좋은건지 궁금해요

  • 1번 째 사진

4개의 답변이 있어요!

  • 송우식 치과의사

    송우식 치과의사

    솔플란트치과 경기도 성남시 모란역

    24.04.29

    현재 임시치아가 붙은 경우에는 치과에 방문하여 다시 제거를 하고 조정이 필요로 되기에 치과 진료를 받길 권합니다.

    궁금증 해소에 도움이 되시길 바라며, 도움이 되신 경우  '👍 ' 눌러주길 부탁드립니다. 

  • 치아를 이동시키는 교정 치료를 받고 있는 경우에는 해당되는 날짜에 가는 것이 좋습니다. 걱정이 되신다면 그 이전에라도 병원에 방문할 수 있습니다. 자세한 확인을 위해서 치료를 받는 치과에 문의를 해보는 것을 권유드립니다

  • 안녕하세요 치과의사 김철진입니다. 임시치아 사용중이라면 크게 신경쓰지 않으셔도 됩니다. 추후에 공간이 부족하면 임시치아나 치아를 조금씩 삭제하면서 치아를 이동시킵니다.

  • 치아 이동이 빠른 상황인 것 같습니다 두번째 앞니를 첫번째 앞니 위치로 이동시켜 최종적으로는 크라운을 만들고자 할 것 같은데 전체적인 치료계획일정에 대해 다시 치과에서 상담을 해보셔도 좋을 것 같습니다