아핫뉴스실시간 인기검색어
아핫뉴스 화산 이미지
화산 아이콘 11
비트코인 17만 달러 전망
아하

의료상담

치과

깔끔한칼새157
깔끔한칼새157

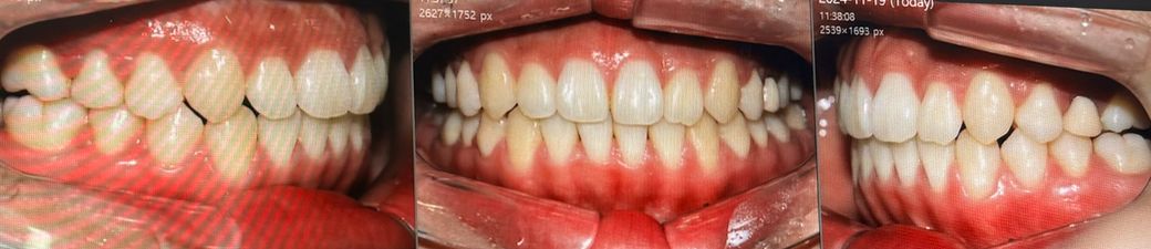
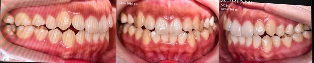
치아교정 잘 된 게 맞는지 봐주실 수 있을까요?

(사진 클릭하셔서 전체로 봐주셔야합니다.)

비포

(사진 클릭하셔서 전체로 봐주셔야합니다.)

애프터

돌출, 교합 많이 좋아졌나요?

약간 이런 치아를 원했는데 이건 욕심이었을까요ㅠㅠ 너무 급하게 교정기 제거한 건 아닌지 걱정이 됩니다.

  • 1번 째 사진
  • 2번 째 사진
  • 3번 째 사진
  • 4번 째 사진
4개의 답변이 있어요!
  • 안녕하세요. 김지훈 치과의사입니다.

    기존의 교합과 비교했을 때에는 상당히 이상적인 교합으로 바뀐 것이라고 생각되며 잘 마무리한 것 같습니다.

    1명 평가
  • 안녕하세요. 최석민 치과의사입니다.

    교합과 배열은 잘 개선된 것 같습니다. 오히려 예시로 가져온 사진의 경우 가지런하긴 하지만 마모가 많이 된 상태, 잇몸질환이 있어 그리 건강한 상태는 아닙니다.

    1명 평가
  • 안녕하세요. 송우식 치과의사입니다.

    이정도면 아주 훌륭하게 교정 끝난 것입니다. 치아배열도 좋고 위아래 물리는 교합도 좋습니다.

  • 안녕하세요. 김철진 치과의사입니다.

    교정을 하신 원장님이 교정이 마무리 됫다고 판단을 하고 교정기를 제거햇을테니 일단은 치료를 해주신 의사선생님을 믿으시는게 좋을것같습니다.