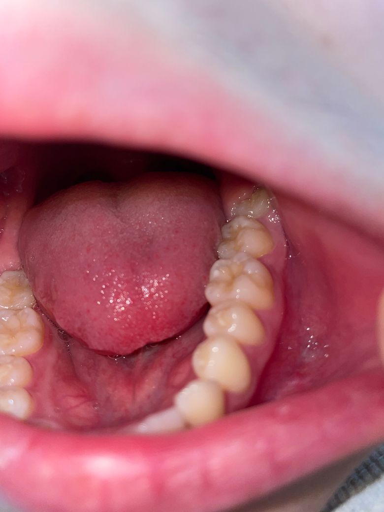
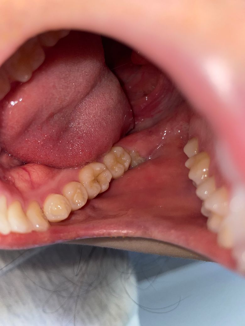
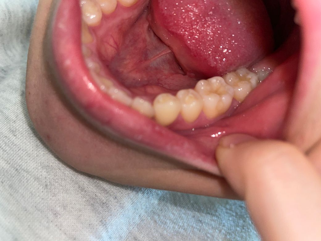
충치일까요?? 구멍은 뭔가요? 치료하려면 많이 아플까요ㅠ
충치일거같긴한데… 구멍도 있는거같아서요ㅠㅠㅠ차가운거 먹었을때만 좀 시려요 ..금데 한 1-2초 후에 바로 괜찮아집니다..!! 근데 제가 치과를 목요일쯤에 갈수있을거같은데 그 사이 더 심해지진 않겠죠 ㅠㅠ? 혹시 이 충치 치료려면 얼마나 아플까요..?ㅠㅠㅠ
안녕하세요. 정진석 치과의사입니다.
어금니에 충치가 보입니다. 따라서 해당 부위의 치료가 필요할 것으로 보이나 현재 차가운것에 시린 증상은 해당 치아로 인한 것인지 다른 치아에도 문제가 있는지는 치과 방문 후 검진을 받아보셔야 합니다. 대부분 충치는 진행속도가 크지 않으므로 단순히 일주일 정도 지나서 치과를 방문하더라도 큰 차이는 없습니다. 물론 가급적이면 빨리 치과를 방문하는 것이 좋습니다.
아무쪼록 저의 답변이 문제 해결에 작게 나마 도움이 될 수 있기를 기원드립니다. 항상 건강하고, 행복하세요^^
정진석 치과의사 드림
안녕하세요. 김용균 치과의사입니다.
많이 심해보이지는 않지만 간혹 보기보다 충치가 더 많이 진행된 경우도 종종 있습니다.
치료시 마취를 하고 하시면 통증은 없으니 너무 걱정하지 마세요.
충치는 진행이 느리기 때문에 몇달이상 방치하는 경우가 아니면 큰 차이 없습니다.
다음주 목요일에 가셔도 괜찮을것 같습니다.
안녕하세요. 김철진 치과의사입니다.
충치는 있으실꺼 같긴합니다. 하지만 저기 구멍뚤린건 원래 치아 모양이 그렇게 생긴거에요. 충치 깊이는 엑스레이 사진등을 찍어보시고 판단해야되니 치과에 가셔서 검진을 받아보세요.
안녕하세요. 장인아 치과위생사입니다.
첫번째 큰어금니의 작은 충치일 가능성이 있습니다.
간단히 떼우는 치료로 가능할수 있습니다.
목요일까지 큰 문제가 발생할것 같지는 않아보입니다.
도움이 되기를 바랍니다. 건강하세요.

