아핫뉴스실시간 인기검색어
아핫뉴스 화산 이미지
화산 아이콘 11
숙행 현역가왕 통편집
아하

의료상담

치과

갈수록친해지고싶은말차라떼
갈수록친해지고싶은말차라떼

앞니 임플란트 후, 힐링 어버트먼트 노출에 관한 문의

안녕하세요?

임플란트 치료중인 병원에 묻는 것이 맞겠지만, 아쉽게도 의사선생님과는 긴 시간동안 충분한 상담시간을 가지기 어려운 분위기며, 치과는 한참 후에나 예약이 잡혀있어서, 여기에 질문을 드려봅니다.

나이는 40대 후반입니다.

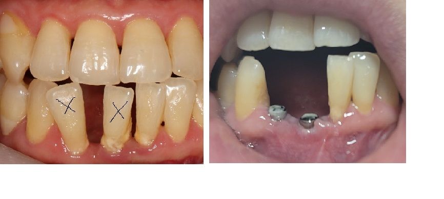
앞니는 30대 초중반부터 상태가 안좋았으며, 대학병원 치주과에서 치주소파술을 받은 뒤, 10년이 넘는 시간동안 나름 열심히 관리를 하면서 조심스럽게 사용을 하였습니다. 그러나, 더이상 앞니가 기능을 하지 못하고 흔들림이 심해지면서, 흔들림으로 치실이나 치간칫솔을 사용하기 어려워지면서, 치석도 엄청 끼고 결국 임플란트를 결심하게 되었습니다. 임플란트를 하기 전 앞니 상태입니다.

위의 사진에서 x표시 있는 2개의 치아를 1차 수술에서 발치하고 바로 임플란트식립+인공뼈 추가하고, 힐링 어버트먼트까지 부착을 하였습니다. 1차 수술 당시에는 힐링어버트먼트가 잇몸으로 많이 가려진 상태였습니다.

질문입니다.

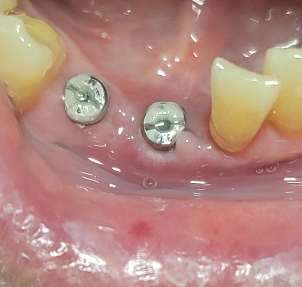
1) 현재 수술 후, 만 16일이 지난 상태인데, 힐링 어버트먼트가 육안으로 많이 보입니다. 수술 직후에는 힐링 어버트먼트가 거의 보이지 않았는데, 지금은 힐링 어버트먼트가 너무 노출되어 잇몸뼈 침식이 일어나는건가 걱정이 됩니다. 한마디로, 힘들게 인공 잇몸뼈로 잇몸뼈 성형을 했는데, 모조리 녹아내린건가 걱정이 됩니다. 아니면, 수술 후, 부어있는 잇몸에 붓기가 빠지면서 자연스럽게 노출된걸로 봐야 하나요? 치과에 빨리 예약하고 내원해서 상태를 점검 받아야 할까요?

2) 수술 전후를 비교해보면.... 사진 기준으로 좌측은 잇몸이 살짝 올라온 것 같고, 우측은 아쉽게도 큰 변화는 없는거 같구요... 뼈이식으로 잇몸이 조금 재생되었다고 판단해도 될까요?

3) 잇몸뼈 재생관련: 제가 이해하기로는 인공잇몸뼈를 이식하면, 제 잇몸뼈가 인공잇몸뼈를 양분삼아(?) 재생한다고 알고 있습니다. 그러나, 제 나이를 고려하면, 이식한 인공잇몸뼈 이상으로 잇몸이 재생하기는 어렵다고 보면 되나요? 구체적으로 현재 제 상태에서 힐링어버트먼트 위로 잇몸이 덮을 정도로, 잇몸뼈가 자라기는 힘들겠죠?

4) 우측의 경우에 안쪽에 힐링어버트먼트를 감싸는 잇몸도 부족해보이고, 임플란트가 비쳐보이는 것 같습니다. 너무 좁은 앞니에 무리하게 임플란트를 한건 아닌지 걱정이 됩니다. 앞니 임플란트 부작용이라며, 잇몸뼈가 녹아서, 임플란트가 노출된 사진들이 많던데 덜컥 겁이 납니다. 어떻게 보시나요?

5) 임시치아 관련: 힐링어버트먼트를 부착해서인지 저는 가철성 임시치아를 받았습니다. 심미적인 부분을 제외하고, 평상시 임시치아를 하고 있는 것이 좋은가요? 아니면 안하는 것이 더 좋은가요?

긴글 읽어주셔서 감사드립니다.

  • 1번 째 사진
  • 2번 째 사진
  • 3번 째 사진
  • 4번 째 사진
  • 5번 째 사진
3개의 답변이 있어요!
  • 안녕하세요. 김지훈 치과의사입니다.

    힐링 어벗이 잇몸 밖으로 나오는 것이 맞으며 인공뼈는 그 이상으로 채워지지는 않습니다. 임시치아 하셔도 되고 안하셔도 됩니다.

  • 안녕하세요. 김철진 치과의사입니다.

    아직 잇몸이 다아물지 않은 상태이니 너무 걱정하지 않으셔도 됩니다. 나중에 잇몸이 아물면 괜찮아 지실꺼에요. 임시틀니는 어디 갈때만 착용하시는게 좋습니다.

  • 안녕하세요. 안상우 치과의사입니다.

    아래 앞니 경우에는 잇몸 뼈에 두께가 얇기 때문에 수술을 하고 난 다음에 임플란트 뿌리가 부분적으로 비춰 보일 수 있습니다.

    골 유착만 잘 된다면 크게 문제가 되는 사항은 아니며 이후에 커스텀 지대주를 이용해서 제작을 한다면 자연스러운 치아를 만들 수 있을 것이라 생각됩니다. 자세한 확인을 위해서 치과에서 진료를 받아보세요.