아하
  • 토픽

  • 스파링

  • 잉크

  • 미션


의료상담

한참정많은시추

한참정많은시추

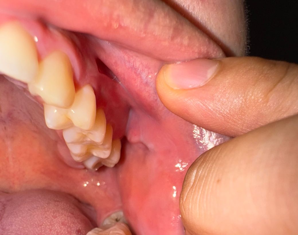
볼안쪽 위에 이런데 뭐가 문제죠..?

생긴지는 한 한달쯤 됐고 줄어들다 커지다 반복합니다

아예 없어지지는 않고 조금 작아졌다가

어느순간 또 커져있는거같고 갑자기 또 신경쓰이네요

왜이러는건가요

  • 1번 째 사진
  • 2번 째 사진

3개의 답변이 있어요!

  • 최석민 치과의사

    최석민 치과의사

    강원도 원주의료원

    안녕하세요. 최석민 치과의사입니다.

    사진만으론 정확히 알기 어렵습니다 구강내과 내원하셔서 조직검사 받아보시기 바랍니다

    보통은 볼을 반복적으로 씹어 생기는 경우가 많습니다

  • 안녕하세요. 김철진 치과의사입니다.

    사진에 보이는건 볼살이 치아에 씹히면서 부은거 같습니다. 큰 문제가 잇는건 아니니 너무 걱정하지마세요.

  • 안녕하세요. 안상우 치과의사입니다.

    사진으로 봤을 경우 압흔으로 인한 증상으로 보입니다 치아에 가해지는 힘이 강해서 생기는 증상으로 치아를 물때 힘을 많이 주게 되면생기게 됩니다.

    음식을 먹을때나 치아를 물때 힘을 약하게 줘보는것을 권유드립니다.