아핫뉴스실시간 인기검색어
아핫뉴스 화산 이미지
화산 아이콘 11
한동훈 돌아올 것
많이 본
아하

의료상담

치과

끈질긴망둥어79
끈질긴망둥어79

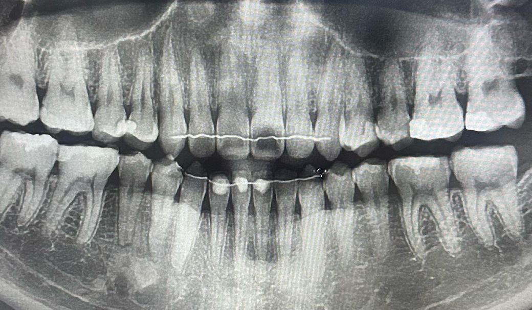
치아 신경 손상??이라는 진단을 받았는데 맞을까요?

치아가 가만히 있을때는 안아프고, 뭐 먹거나 씹으면 통증이 있습니다. 신경치료를 하라고 말을 하던데 가만히 있을때는 아프지 않은데 신경치료를 하야할까요?

  • 1번 째 사진
3개의 답변이 있어요!
  • 안녕하세요. 김지훈 치과의사입니다.

    말씀하신 것만으로는 판단하기는 어렵고 진단이 의심되면 여러 치과 가보시면 될 것 같습니다.

  • 안녕하세요. 김철진 치과의사입니다.

    씹을때만 불편하다면 치아에 금이갓을 가능성이 높습니다. 계속해서 불편하시면 신경치료를 하신느게 좋을것같습니다.

  • 안녕하세요. 안상우 치과의사입니다.

    사진으로만 봤을 경우에는 큰 충치가 보이진 않습니다. 하지만 치아에 금이가 있거나 했다면 해당 부위가 음식을 먹을 때 불편할 수 있습니다. 금이 생겼다면 정상적인 치아라고 하더라도 과도한 힘에의해 통증이 느껴질 수 있으니 치아의 가해지는 힘을 줄여주는 것이 좋습니다.