잇몸뼈 아래에 누워있는사랑니 뽑아야하나요? (아래사랑니)
치과에서 잇몸뼈 아래에 있어서 뽑을때 매우 고생할것이고 손안대는게 좋을것같다 굳이 뽑고싶으면 큰병원에 가는것을 추천한다하시는데 (아래사랑니)
안뽑아도되는 사랑니인가요...?? 앞어금니에 막혀서 위로 나올것같지도 않고 나중에라도 뽑아야되는거면 빨리 뽑아버리고 싶어서요ㅜㅜ
안녕하세요. 김지훈 치과의사입니다.
해당 사랑니는 신경관의 위치와 아주 가까워보여 대학병원에서 발치를 하시는 것이 좋아보입니다.
안녕하세요. 김바른 치과의사입니다.
사랑니의 경우, 잇몸밖으로 맹출되지 않았다면 구강내 세균에 노출되지 않았기때문에 굳이 발치하지 않으셔도 됩니다.
그러나 만약 구강내로 노출되어 있고 잇몸질환에 노출된 경우라면 더 큰 문제를 일으키기전에 예방적으로 발치하는 것을 권합니다.
안녕하세요. 이성영 치과의사입니다.
사진만으로는 발치가 권장되는지 판단할 수 없으며, 실제 구강 내에서 사랑니 상부의 잇몸 상태 등에 대한 검사가 필요합니다.
사랑니가 깊이 매복되어 있어 특별히 문제가 되지 않는다면 발치하지 않아도 되지만, 사랑니 윗 잇몸사이로 이물질이 끼기 쉬운 상태라면 차후 앞 어금니 뒷면에도 깊은 충치가 발생할 수 있어 예방적인 발치가 고려될 수 있습니다.
안녕하세요. 이정현 치과의사입니다.
사진상으로 매복된 사랑니가 앞의 치아를 건드리고 있을 가능성이 높습니다.
이런경우 발치를 하는게 좋으나, 앞의 치아를 건드리고있는지 정확히 보려면 씨티를 확인할 필요가 있습니다.
물론 치아뿌리가 신경관을 건드리고 있을 가능성도 고려해야합니다.
답변이 도움이 되길 바랍니다. 감사합니다.
안녕하세요. 송우식 치과의사입니다.
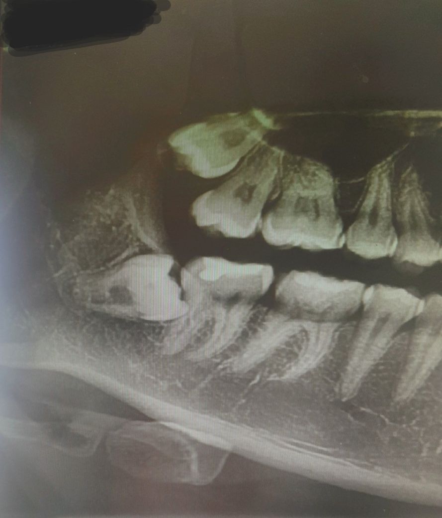
옆으로 누워있는 수평매복 사랑니 입니다.
지금 x-ray 사진상 바로앞 어금니를 밀고 있습니다. 이런 사랑니를 뽑지 않는다면 바로앞 어금니가 상하게
되니 가능한 빨리 뽑는 것이 좋습니다. 수평매복 사랑니는 치아를 부숴 조각으로 발치하니 간단한 수술에 해당합니다.
안녕하세요. 이효상 치과의사입니다.
사랑니를 빼야하는 이유는 크게 두가지입니다.
1. 사랑니 자체의 문제
사랑니는 제일 안쪽에 있는 치아이기 때문에 다른 치아에 비해 상대적으로 충치가 생길 가능성이 큽니다.
충치가 생겨서 계속 썩은채로 놔두면 치아 뿌리 끝으로 염증이 생기는데 그 염증에 의해 치아를 잡고 있는 뼈를 녹이게 되므로 발치하시라고 권해드립니다.
2. 사랑니에 의한 근처 어금니의 문제
사랑니와 인접한 큰어금니 사이에 공간이 있는경우 그곳으로 이물질(대표적으로 음식물)이 들어갈 가능성이 높은데요, 물리적으로 양치를 아무리 잘하더라도, 한번 들어가면 잘 빠져내기가 힘듭니다.
그렇기 때문에 큰어금니에 충치가 생길 가능성이 커집니다.
사랑니야 뽑으면 그만이지만, 큰어금니의 경우 계속 쓰셔야하는데, 충치가 생기면 곤란해지기 때문에 사랑니를 뽑으시라고 권해드리는겁니다.
안녕하세요. 정진석 치과의사입니다.
아닙니다. 뽑기는 해야 하나 매복 정도가 매우 심하고 발치 과정에서 앞쪽 어금니 손상 가능성이 높기 때문입니다. ct 사진 등을 찍어봐야 겠지만 신경과도 근접하여 발치 이후에 신경손상 가능성도 높습니다. 이러한 경우에는 발치를 하는 것을 추천드리지만 발치 과정에서 어금니 손상, 신경손상이 있을 수 있어 큰 병원에서 관리를 받으면서 발치하는 것이 좋습니다.
아무쪼록 저의 답변이 문제 해결에 작게 나마 도움이 될 수 있기를 기원드립니다. 항상 건강하고, 행복하세요^^
정진석 치과의사 드림
안녕하세요. 김철진 치과의사/경제·금융전문가입니다.
사랑니가 앞치아에 걸려 있는것도 걸려 있는거지만, 사랑니가 신경과거의 맞닿아 잇는듯 보입니다. 치과의사 선생님 말씀대로 일반병원에서는 뽑기 힘들수 있으며, 뽑길 원하시면 대학병원이나 사랑니 전문 병원에 가보셔야될것같습니다. 관리가 잘되시고 계시다면 발치안하셔도 되지만 염증이 생기신다면 발치를 하시는게 좋습니다.
안녕하세요. 장인아 치위생사입니다.
사랑니는 저작기능을 거의 하지 못하고
문제를 많이 일으키기 때문에 불필요한 경우가 많습니다.
사랑니 자체의 문제(치아우식증, 지치주위염, 치아낭종, 종양)도 있지만,
앞에 위치한 치아에 손상을 줄수 있으니 발치를 권장 합니다.
도움이 되기를 바랍니다. 건강하세요.

