아하
  • 토픽

  • 스파링

  • 잉크

  • 미션


랑온곰

랑온곰

26.02.02

X-ray 시기별 골 치유 단계에 대한 질의

성별

남성

나이대

영유아

답변의 구체성과 상세성에 따라 응원 박스 더 많이 겁니다. 어떤 분은 1500개 받아가셨음

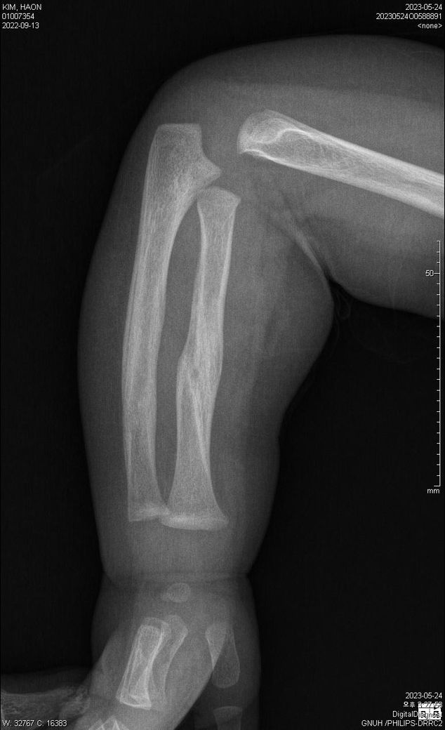
첨부된 파일에 기재된 사실과 같이 23년 5월 24일 촬영된 양팔 X선 2장과

23년 7월 11일 촬영된 양팔 X선 2장입니다.

양팔이 골절이 되었었는데요,

뼈 회복 과정이 골막이라는게 형상되고 - 가골 칼러스가 형성되고 - 재형성이 되고 - 완전한 재형성이 이뤄진다로 알고 있습니다.

1) 5월 24일 X선이 가골형성 시기인지, 재형성(리모델링) 시기인지 궁금합니다.

2) 보톨 양팔 완전골절이 재형성(리모델링) 되려면 성인이 6개월, 영유아들이 3개월 걸린다는데 타당한 내용인 지 알고 싶습니다.

3) 5월 24일 X선에 비해 7월 11일 X선은 또한 어떤 치료단계인지 문의드리고자 합니다.

4) 종합하자면 3월 초~ 중순에 골절이 일어났다고 보는게 타당한지?

  • 1번 째 사진
  • 2번 째 사진
  • 3번 째 사진
  • 4번 째 사진

아직 답변이 없어요.