아핫뉴스실시간 인기검색어
아핫뉴스 화산 이미지
화산 아이콘 11
충주 외조모 살해 30대
많이 본
아하

의료상담

치과

탈퇴한 사용자
탈퇴한 사용자

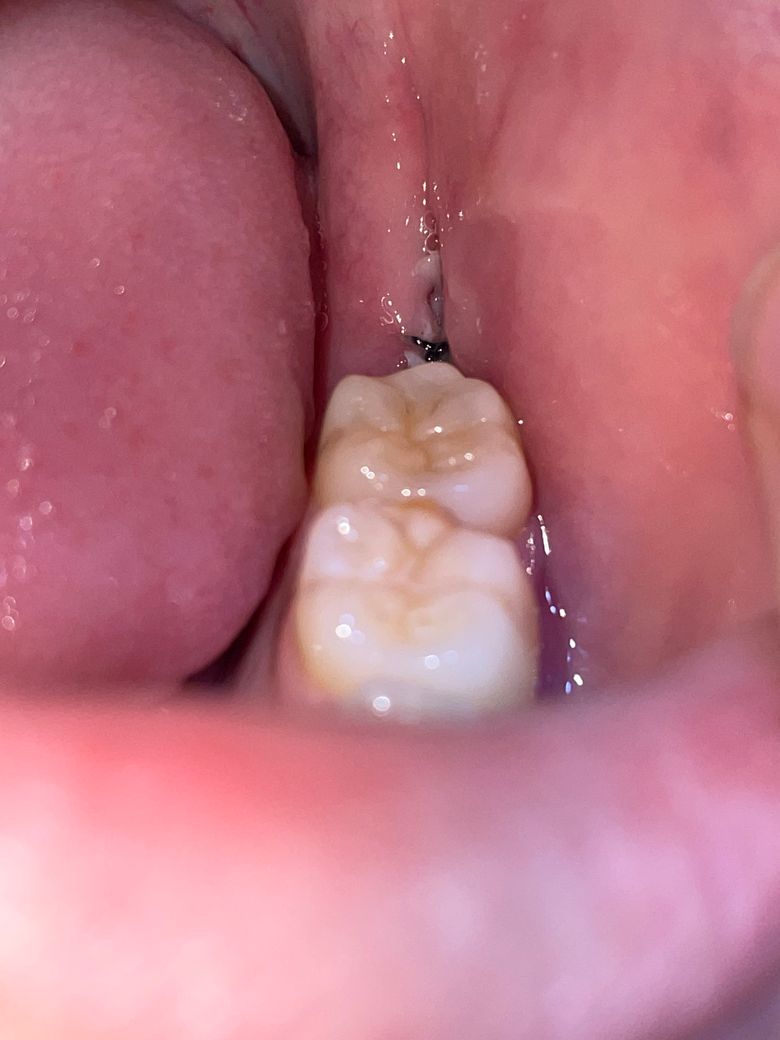
매복사랑니 발치 부위 염증 혹은 드라이소켓인가요? 그리고 경구피임약 복용 중에 사랑니 관련

사랑니 발치 후 3일 정도 지났습니다 잇몸이 부어서 저렇게 틈처럼 보이는 건지 사랑니 발치로 인한 잇몸 절개 부위가 저렇게 벌어져 염증 혹은 드라이소켓이 생긴 건지 궁금합니다 ㅠㅠ 극심한 통증은 없습니다 ㅠㅠ 다만 걱정인 건 경구피임약 사용 중에 사랑니를 발치했고 경구피임약이 드라이소켓 확률을 높인다는 소리를 들었는데 복용을 중지해야하나요?

  • 1번 째 사진
  • 2번 째 사진
3개의 답변이 있어요!
  • 안녕하세요. 정진석 치과의사입니다.

    경구피임약 복용이 사랑니 발치 이후 통증 및 드라이소켓 가능성이 커진다는 것은 알려져 있기는 하지만 모든 경우에 해당하는 것은 아닙니다. 또한 3일 정도이면 아직까지 발치와가 충분히 회복되지 않아 벌어져 보이는 것이 당연합니다. 현재로서는 큰 문제가 없어 보입니다.

    아무쪼록 저의 답변이 문제 해결에 작게 나마 도움이 될 수 있기를 기원드립니다. 항상 건강하고, 행복하세요^^

    정진석 치과의사 드림

  • 안녕하세요. 송우식 치과의사입니다.

    발치 3일만에 이정도로 아물었다면 정상적으로 아물고 있는 것으로 보입니다. 물론 드라이 소켓도 생기지 않은 것으로 보입니다. 절개 부위도 많이 벌어진 것도 아니며 시간이 지나면 점점 좁아집니다.

  • 안녕하세요. 김철진 치과의사입니다.

    사진상으로 보면 크게 문제가 잇어 보이진 않습니다. 아마도 저부위는 음식등이 실밥에 묻어서 그런거지 크게 걱정하지 않으셔도 될것같습니다.