아하
  • 토픽

  • 스파링

  • 잉크

  • 미션


의료상담

조신한황로194

조신한황로194

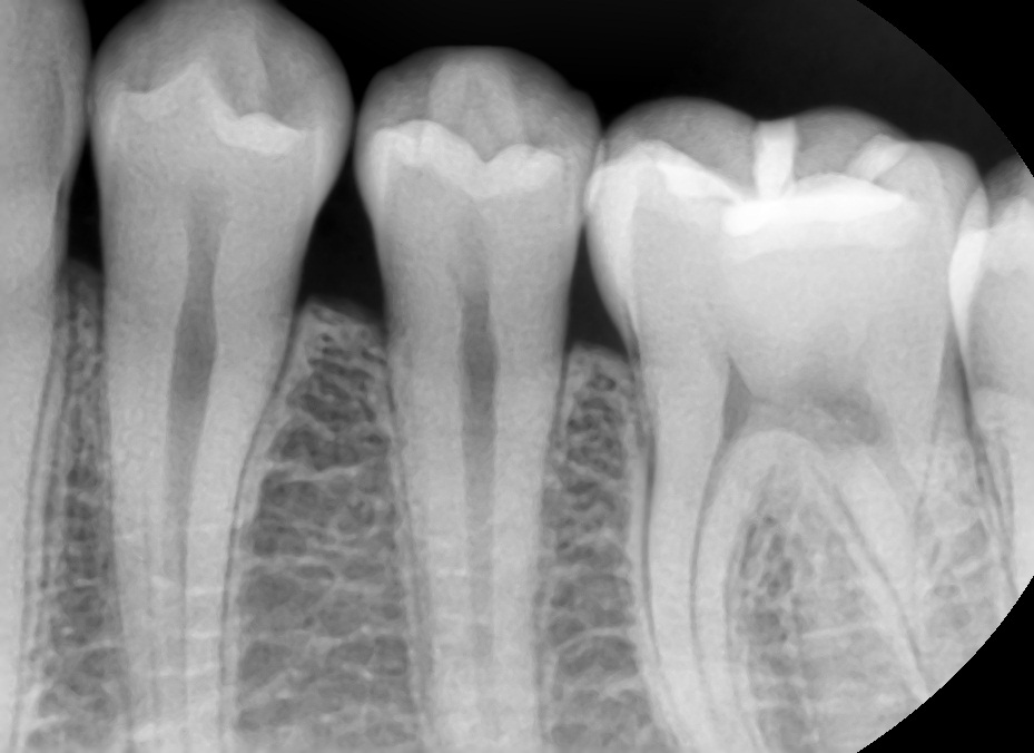
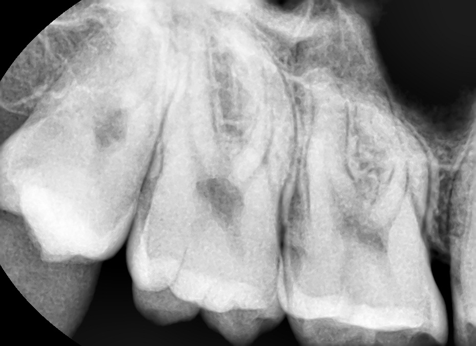
3주만에 충치가 상아질을 뚫을수있나요?

3년간 양치안했더니 법랑질에 국한된 충치가생긴 어리석은 청년입니다. 요즘도게을러서 사진속 치아상태에서 3일에 한번주기로 꼼꼼하게 양치와 치실질을 진행했었는데 3주정도 되었습니다. 3일에 한번씩 꼼꼼하게한정도로는 3주동안 충치가 더 번졌을 가능성이 높나요?





  • 1번 째 사진
  • 2번 째 사진
  • 3번 째 사진

4개의 답변이 있어요!

  • 최석민 치과의사

    최석민 치과의사

    강원도 원주의료원

    안녕하세요. 최석민 치과의사입니다.

    교합면(씹는면) 충치는 그렇게 빨리 진행되지는 않습니다. 인접면 충치의 경우 법랑질 부위가 얇기 때문에 다소 빨리 진행되는 편은 있지만 3주 내에 급격히 진행되거나 하지는 않습니다. 보통 충치는 만성질환으로 여겨집니다.

  • 안녕하세요. 김지훈 치과의사입니다.

    충치가 생겼다면 관리를 하기 보다는 치과에서 진단을 받으시고 빨리 치료하는 것이 더 좋을 수 있습니다.

  • 안녕하세요. 김철진 치과의사입니다.

    단순히 시간적으로 충치가 더 진행된걸 확신할수 없습니다. 관리를 잘하셧다면 3주 안에 충치가 급속도로 진행되진 않습니다.

  • 안녕하세요. 안상우 치과의사입니다.

    치근단 사진으로만 확인해 봤을 경우에 상아제 값이 충치가 의심되는 치아가 보이지는 않습니다.

    하지만 충치의 여부는 방사선 사진뿐만이 아니라 육안으로도 확인을 해야 알 수 있기 때문에 자세한 확인을 위해서 치과에서 진료를 받아 보세요