의료상담

입안에 빨간점 궁금증 양쪽 입안, 병원 추천

성별

여성

나이대

20대

입안에 빨간점이 갑자기 생겼습니다

아프지는 않고 양치하다가 발견했습니다

빨간점이 뭘까요?

그리고 병원 가야할까요? 어디 병원 가야하나요?

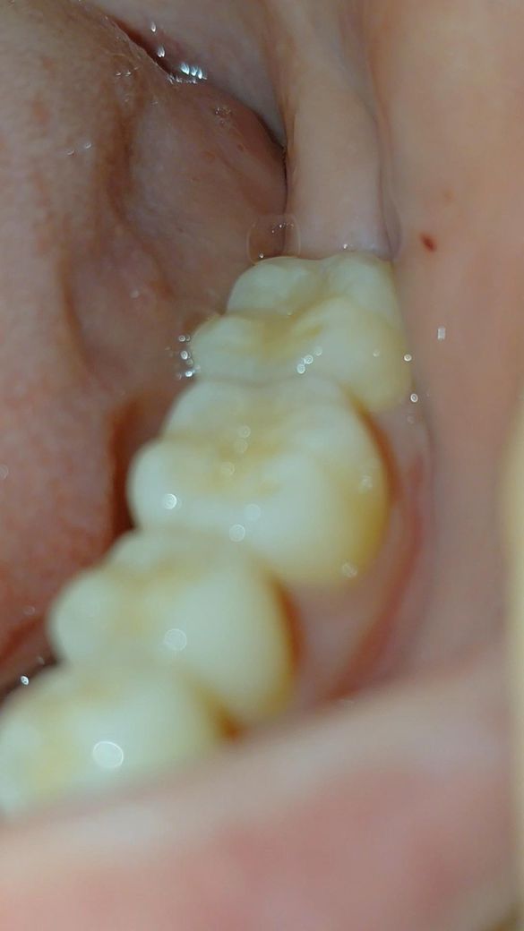
  • 1번 째 사진
  • 2번 째 사진
  • 3번 째 사진

1개의 답변이 있어요!

  • 사진상 보이는 병변은 구강 점막에 국한된 작은 적색 점 형태로, 통증이 없고 우연히 발견된 점을 고려하면 급성 감염보다는 국소 자극이나 미세 출혈 가능성이 가장 높습니다. 음식 섭취 중 씹힘, 딱딱한 음식, 칫솔 자극 등으로 점막 아래 모세혈관이 터지면서 이런 형태로 나타날 수 있으며, 특히 양쪽에 비슷하게 생겼다면 반복적인 기계적 자극 가능성이 더 설득력 있습니다.

    임상적으로는 점상 출혈이나 경미한 외상성 병변과의 감별이 중요하며, 통증이 없고 궤양이나 흰 막이 없으며 크기 변화가 없다면 의미 있는 질환일 가능성은 낮습니다. 일반적으로 이런 병변은 별다른 치료 없이 1주에서 2주 사이 자연 소실되는 경우가 많습니다.

    다만 2주 이상 지속되거나 크기가 증가하거나 색이 점점 진해지거나 주변이 단단해지는 경우, 혹은 출혈이 반복되면 추가 평가가 필요합니다. 현재 상태만으로는 즉시 병원 방문이 필요한 상황은 아니며 경과 관찰이 우선입니다. 진료가 필요할 경우에는 치과, 특히 구강내과 또는 구강악안면외과에서 확인하시는 것이 적절합니다.