아하
  • 토픽

  • 스파링

  • 잉크

  • 미션


의료상담

호감있는돈나무

호감있는돈나무

항생제로 인해 구내염과 편도부음이 나타날 수 있나요?

성별

남성

나이대

27

복용중인 약

항생제

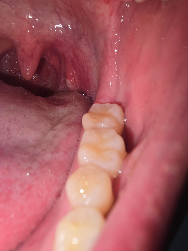
제가 지금 세팔로스포린계와 테트라시이클린계 항생제를 먹고 있는데, 이후에 입이 계속 마르고 편도 주변에 구내염이 생기고 미칠 것 같습니다. 그리고 계속 열감이 있는 것 같은데 이것도 입이 말라서 편도 부위에 염증이 생겨서 그런건가요?

  • 1번 째 사진

1개의 답변이 있어요!

  • 옥영빈 의사

    옥영빈 의사

    홍성의료원

    아쉽지만 구체적인 증상의 원인이 무어라 단정 짓기는 어려운 상황일 것으로 사료됩니다. 다만 항생제 약물 부작용에 의해서도 유발이 될 수 있는 종류의 증상으로 보이긴 하며 그러한 경우에는 복용 중인 항생제를 중단하고 다른 약물로 대체를 하거나 하는 등의 조치가 필요할 것으로 사료됩니다. 관련하여서는 처방을 받으신 병원에서 재차 상태를 재평가하고 가능한 조치를 받으시는 것이 적절할 것으로 사료됩니다.