의료상담
55글자 더 채워주세요.
4개의 답변이 있어요!
안녕하세요. 안상우 치과의사입니다.
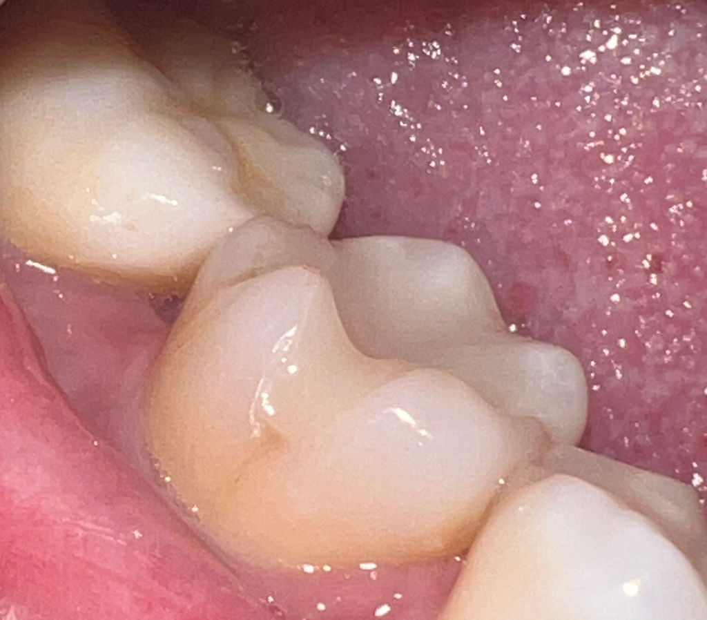
일반적으로 보철물은 치아 경계부위가 잘 맞게 제작되는것이 맞습니다.
부착 재료가 남아 있을수도 있는것이기 때문에 차이가 느껴지거나 한다면 치과에서 다듬어 주는것이 좋습니다.
정확한 확인을 위하여 치과에서 자세한 진료.를 받아보시길 권장 드립니다.
안녕하세요. 김철진 치과의사입니다.
인레이가 쪼금 깨져서 나간거 같습니다. 언제 하셧는지 모르겟지만 치과에 가셔서 검진을 한번 받아보시는게 좋을것같습니다.
안녕하세요. 송우식 치과의사입니다.
인레이가 손상이 되어 해당부위에 이물질이 짤끼는 경우 다시 치과를 방문하여 해당부위를 메꾸는 치료를 받길 권하며, 사용중에 파손됬을 가능성도 배제하기 어렵습니다.
궁금증 해소에 도움이 되시길 바라며, 도움이 되신 경우 ‘추천’ 부탁드립니다. 감사합니다.
안녕하세요. 김지훈 치과의사입니다.
깨지고 틈이 있다면 장착후 문제가 생긴 듯 합니다. 치과에 내원하셔서 정확한 검사를 받아보시는 것이 좋겠습니다

