아하
  • 토픽

  • 스파링

  • 잉크

  • 미션


의료상담

그럭저럭까다로운호박죽

그럭저럭까다로운호박죽

24.09.10

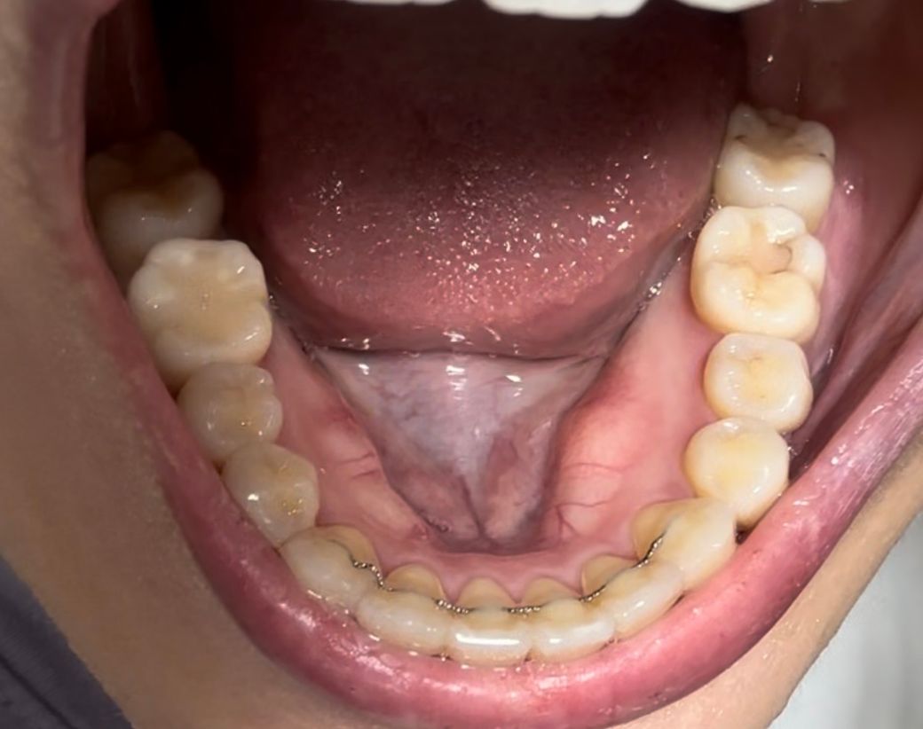
이거 2차충치인가요..? 레진이였습니다

충치 레진으로 치료한지 한 8년정도 지났습니다

레진 부분이 선으로 저렇게 변색된 부분이 존재하는데 그냥 변색된건가요 아니면 2차충치인가요..?

충치라면 많이 심한건가요?? 어느정도 치료를 받아야하는지 알려주세요

  • 1번 째 사진
  • 2번 째 사진

4개의 답변이 있어요!

  • 김지훈 치과의사

    김지훈 치과의사

    메가

    24.09.11

    안녕하세요. 김지훈 치과의사입니다.

    변색과 충치 모두 가능성이 있습니다. 사진만으로는 판별이 안되니 치과 가보시는 게 좋겠습니다.

  • 안녕하세요. 김철진 치과의사입니다.

    레진으로 치료한 주변부로 착색 및 2차 충치가 생긴거 같습니다. 치과에 가셔서 다시 치료를 하시는게 좋을것같습니다.

  • 안녕하세요. 최석민 치과의사입니다.

    차거나 뜨거운 음식 등에 별다른 시린 증상이 없다면 단순 레진 재료의 변색일 가능성이 높습니다. 치과가서 엑스레이를 한번 찍어보면 좋을 것 같습니다. 레진과 치아 경계 사이로 충치가 생기기도 하지만 보통 이차충치는 레진 재료의 하방에 생깁니다.

  • 안녕하세요. 송우식 치과의사입니다.

    현재 사진상으로 변색의 경우 2차 충치로 의심이 됩니다. 이 경우 치과에 방문하여 충치여부를 확인하고, 충치가 맍는 경우 레진을 제거하고, 재치료후에 다시 씌우는 치료가 필요로 됩니다.

    만족스러운 답변되셨으면 합니다.

    평가 감사합니다.