아핫뉴스실시간 인기검색어
아핫뉴스 화산 이미지
화산 아이콘 11
모범택시3 사기조직 추적
많이 본
아하

의료상담

치과

끝없이친절한나무늘보
끝없이친절한나무늘보

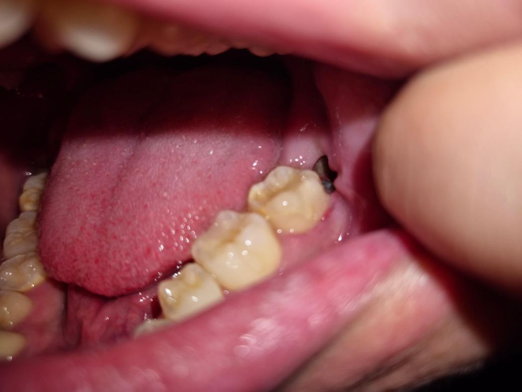
사랑니 발치 후 8일차입니다 통증이 너무 심한데 드라이 소켓일까요?

숨 쉴때마다 사랑니 발치부위와 이어서 목구멍, 혀 아랫부분, 가운데 아랫니까지 찌릿찌릿 아픕니다.. 구취는 모르겠습니다만 좀 나는 것 같고요 ㅠㅜ

사랑니 발치 한 부위를 빛으로 비추어보니, 사진처럼 어금니와 가까운 쪽을 살펴보았더니 곰팡이가 핀듯이 파란색과 하얀색의 무언가가 엉켜있는 듯한 모습이고요.. 가끔 발치부위에서 짠맛도 납니다

  • 1번 째 사진
2개의 답변이 있어요!
  • 안녕하세요. 김철진 치과의사입니다.

    아직은 잇몸이 다 아물지 않아서 음식물등이 들어가면 염증이 생길수 있으니 치과에 가셔서 소독을 받아보시고 약을 추가 처방받으셔서 드시는게 좋을것같습니다.

    1명 평가
  • 안녕하세요. 최석민 치과의사입니다.

    보통은 드라이소켓은 발치 후 3~5일차에 주로 생기나 지금 증상을 봐서는 드라이소켓을 의심해볼 수도 있을 것 같습니다 치과가서 추가 약처방 받으세요

    1명 평가