아하
  • 토픽

  • 스파링

  • 잉크

  • 미션


의료상담

나른한비버146

나른한비버146

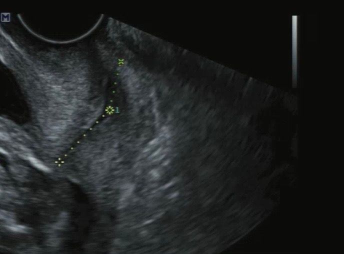
자궁경부길이 관련 사진입니다. 많은 답변 부탁드려요.

성별

여성

나이대

30대

각자 다른 원장님께서 측정해주신 자궁경부 길이입니다.

첫번째사진은 끝쪽까지 길이를 재주셨는데

두번째사진은 중간까지 길이만 재주셔서요..!

왜 다를까요?????

  • 1번 째 사진
  • 2번 째 사진

아직 답변이 없어요.