강아지 외상에 따른 슬개골 탈구 및 십자인대 단열(파열)에 관한 진단 부탁드립니다!ㅠㅠ

반려동물 종류

강아지

품종

말티푸

성별

수컷

나이 (개월)

1년 7개월

몸무게 (kg)

2

중성화 수술

없음

강아지 정확한 체중 : 1.7kg(초소형견)

제가 바닥에 앉은 상태로 강아지를 앉고 있었는데 집에 온 동생을 보고 좋았는지 흥분을 했고, 강아지가 흥분 상태로 저한테 벗어나려다 뒷발로 착지를 했는데 갑자기 깨갱 비명을 지르더니 왼쪽 뒷발을 딛지 못했고, 제 팔을 순간적으로 앙앙물더라구요.. 그래서 바로 병원으로 달려갔고 X-ray를 찍은 결과 슬개골 탈구와 함께 십자 인대 단열이 의심된다고 하셨습니다.

그런데 제가 앉아있는 상태에서 벗어난거라 바닥으로부터 높이가 30cm도 안되는 낮은 높이에서 십자 인대까지 파열될수 있나요..? 담당 의사 소견으로는 당장의 수술이 부담될 수 있으니, 이틀 정도 지켜보고 발을 못딛으면 수술을 해야 한다고 하더라구요.. 그래서 일단 소염진통제 주사와 약처방을 받아 왔습니다.. 이후 집에 돌아와 강아지를 내려놓으니 발을 딛고 걷기는 하는데 한 30~40초 걷다가 깨갱 하면서 고장난 듯이 멈춰있고 섣불리 앉거나 엎드리는 자세를 안하려고하는 것 같아요.. 당일이라 그런건지 너무 걱정되서 질문 남깁니다..!

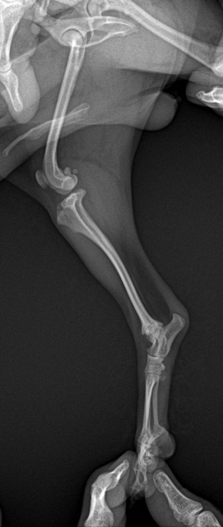
담당 의사선생님께서 십자인대의 문제는 확인이 어렵다고 하셨는데, 보통 X-ray로 확인하지 않나요..?ㅠㅠ 그래서 아하에 계시는 수의사 분들께 병원에서 받아온 X-ray 사진과 병원에 진료 후 내려놨을 때 걷는 영상을 첨부하오니, 100%가아니더라도 십자 인대 수술이 필요해보이는지, 다른 소견은 없는지 등의 진단을 부탁드립니다..!ㅠㅠ

이틀 뒤에 다시 병원에 내방할 거지만.. 너무 불안하고, 슬개골 문제라면 수술은 하지 않을 것 같은데, 십자 문제면 무조건수술을 진행해야 할 것 같아서.. 의견 부탁드립니다! 아이가 너무 작아서 마취가 걱정되어 중성화도 하지 못한 상태입니다.. 소중한 답변 간절히 부탁드립니다..!

1개의 답변이 있어요!

  • 안녕하세요. 이은수 수의사입니다.

    30cm가 이니라 10여도 터질 십자인대는 터집니다. 다만 첨부한 사진에서 양쪽 뒷다리의 측면 사진이 모두 첨부되어야 관절낭을 중심으로 비교 평가할 수 있는데 사진이 누락되어 판단할 수 없습니다. 다만 주관적으로 2번째 첨부 사진에서 아킬레스건의 부종 양상이 관찰되고 슬개골 관절낭의 심한 종창은 보이지 않아 십자인대 단열보다는 아킬레스건 부분단열을 먼저 고려해야 할것으로 보입니다. 주치의의 지시에 따라 평가 진행해도 크게 무방합니다.