아하
  • 토픽

  • 스파링

  • 잉크

  • 미션


의료상담

숙련된반딧불126

숙련된반딧불126

무릎 전방 불편 연골 연화증 의심

성별

남성

나이대

38

기저질환

없음

복용중인 약

없음

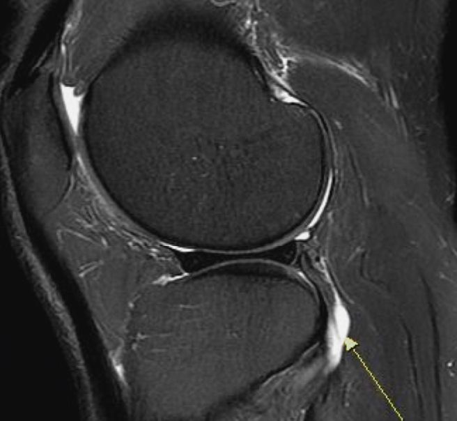
평소 하루 2만보 가까이 걷기를 즐겨하며 지내던 중 갯바위 바다낚시에서 불편한 자세로 종일 서 있었는데 그.후에 양 무릎이 불편하기 시작했습니다. 엑스레이 초음파에선 이상 없었고 오른쪽 MRI 찍어보니 연골판 바깥쪽 붓기와 더불어 근위 경골 관절에 물참/슬개건에 미세한 음영변화/내측.거위발건 염증/연골 찢어짐 없음 으로 판정 받았습니다..쪼그려 앉기 통증. 계단 무리하면 한번씩 통증. 의자에 앉아 있을때 불편감등 연골연화증 증세가 있습니다. 연화증이 맏을까요? 맞다면 어떤 치료를 해야할까요..쉬면서 근육 키우는 수밖에 없나요

  • 1번 째 사진
  • 2번 째 사진
  • 3번 째 사진

4개의 답변이 있어요!

  • 최병관 내과 전문의

    최병관 내과 전문의

    Awal Medical Centre, Sarina

    안녕하세요. 최병관 의사입니다.

    연골 연화증은 (runner's knee)라고도 하며 슬개골 하부 연골이 악화되고 연해지는 질환입니다. 일반적으로 젊은 운동선수에게 발생하지만 퇴행성관절염이 있는 고령자에게도 발생할 수 있습니다. 연골 연화증은 주로 과사용으로 인해 발생하는 경우가 많으며 쉬는 것만으로도 호전되는 경우가 많습니다. 휴식만으로 좋아지는 경우가 많지만 진통소염제를 비롯하여 얼음찜질 등을 통해 호전이 되며 증상이 지속되는 경우  슬개 대퇴관절의 모양이나 정렬에 이상이 있을 수 있어 확인 후 수술을 해야 합니다.

  • 안녕하세요.

    연골은 소모성 부분으로 다시 재생하지 않아 연화증이 오는 경우 지속적으로

    불편할 수 있으며 걸으면 걸을 수록 혹은 운동을 자주 할 수록 더 악화될 수 있습니다.

    연골을 강화하기는 어려워 주변 근육을 강화하기 위해 무릎 스쿼트를 주로 하게 되며

    실내 자전거나 수영 역시 무릎에 중력의 영향을 줄이면서 근육을 강화할 수 있는 운동

    이 되지만 이런 운동 역시 무리하게 하는 경우는 연골을 악화시킬 수 있어 통증이

    없는 정도까지만 운동을 하도록 권하게 됩니다.

  • 안녕하세요 아하(Aha) 의료, 코로나 카테고리에서 활동중인 전문의입니다.

    영상소견과 증상을 종합적으로 고려했을 때 연화증이 의심되는 상태가 맞습니다.

    연골연화증은 2~3개월 정도 휴식을 취하고, 꾸준하게 운동하여 관절 주위 근육을 단련시켜 약해진 관절을 더 이상 상하지 않도록 보호해 주면 됩니다. 보존적 치료에 효과가 없고 슬개 대퇴관절의 모양이나 정렬에 이상이 있으면 수술을 해야 합니다.

    참조하시어 도움이 되기를 바랍니다.

     

  • 탈퇴한 사용자

    탈퇴한 사용자

    안녕하세요.

    MRI 판독지에 진단이 나와 있을 것 입니다. 참고하시길 바랍니다. 연골연화증일 가능성이 있어 보입니다.

    병원에 내원하면서 치료를 먼저 받으시면서, 걷는 양을 줄이고, 당분간은 쉬는 것이 좋으 것 같습니다.

    감사합니다.