아하
  • 토픽

  • 스파링

  • 잉크

  • 미션


위대한셰퍼드208

위대한셰퍼드208

만성위염 어지러움이 주증상이될수있나요?

성별

여성

나이대

27

기저질환

만성위염

안녕하세요. 두달전쯤부터 소화불량, 어지러움증상을 겪고있고 현재도 큰 차도가 없는상태입니다.

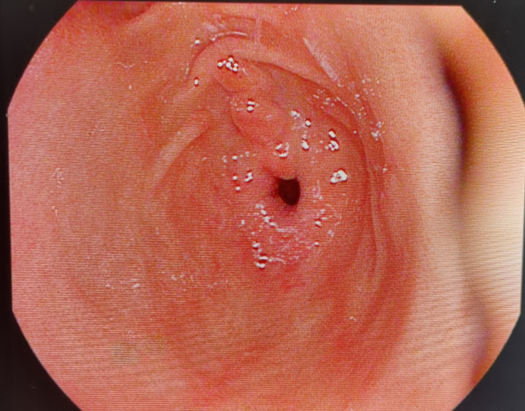
한달전쯤 위내시경 결과 조직검사까지 시행했고, 다행히 큰문제는 아니며 식도염이있고 위가 크게부어있는부분이있으며, 만성위염이라고만 말씀해주셨습니다. 사진은 제 위내시경촬영본입니다.

(위염사진)




(식도염사진)


제 예상으론 작년가을, 그리고 이번병이 발발하기 직전 갑자기 기상후 심한어지러움을느꼈는데 이게 급성위염인지모르고 넘어갔다가 만성이된것같습니다.. 작년가을엔 너무 어지러워서 응급실까지갔었습니다..


1. 원래 만성위염이 속쓰림,복통을 동반하지않고 어지러움이 주증상일수있나요? 하루종일 계속 어지럽습니다..


2. 만성위염은 기본 3개월이상 간다고 보아야하나요? 두달넘어가고있는데 차도가 크게 없습니다. 생활습관과 식습관이 문제였던걸 알기에 최대한 고치고있고 하루 꼬박꼬박 6~8천보 걷기운동하는중입니다.


3.병원약은 15일분 처방받았는데 몸에안좋다고 하기도하고 여드름이 너무심하게나서 10일분만먹고 현재는 건강식품위주로만 관리하고있습니다. 다시 병원방문해서 약물치료 동반하는게 나을까요? (+복통은 없는데 위산분비억제제도 같이복용해야할까요?)




  • 1번 째 사진
  • 2번 째 사진

2개의 답변이 있어요!

  • 배병제 의사

    배병제 의사

    국제성모병원

    안녕하세요. 아하(Aha) 의료분야 답변자 외과 전문의 배병제입니다.


    1. 어지럼증은 위염과 관련되어 나타난다고 의심하기는 어렵지만, 위염이 악화되며 함께 나타나거나 악화되는 양상을 보인다면 우선 위염부터 적극적으로 치료해보실 수 있겠습니다.

    2. 만성 위염이라는 이름에서 알 수 있듯 오랜세월 염증이 위장 점막을 괴롭힌 상태입니다. 나아지는 데에도 오랜 시간이 필요합니다.

    3. 가장 중요한 치료가 위산 억제이므로, 약은 꾸준히 복용해야 합니다. 최소 1개월 이상 복용하시게 될테니 병원을 꾸준히 다녀보시기 바랍니다. 보조적 방법들은 약물치료를 대신할 수 없습니다.


    저의 답변이 부족하겠지만 조금이나마 도움이 되셨길 바랍니다.

  • 안녕하세요. 채홍석 의사입니다.

    1. 원래 만성위염이 속쓰림,복통을 동반하지않고 어지러움이 주증상일수있나요? 하루종일 계속 어지럽습니다.

    어지러움증이 주증상이라면 우선 빈혈을 고려하셔야 합니다.

    2. 만성위염은 기본 3개월이상 간다고 보아야하나요? 두달넘어가고있는데 차도가 크게 없습니다. 생활습관과 식습관이 문제였던걸 알기에 최대한 고치고있고 하루 꼬박꼬박 6~8천보 걷기운동하는중입니다.

    만성위염이라는 진단명에 너무 집중하지 않으셔도 됩니다. 급성위염이 아닌 염증성 병변을 만성위염이라고 하며

    임상적으로 유의한 의미를 가지는 것은 아닙니다.

    3.병원약은 15일분 처방받았는데 몸에안좋다고 하기도하고 여드름이 너무심하게나서 10일분만먹고 현재는 건강식품위주로만 관리하고있습니다. 다시 병원방문해서 약물치료 동반하는게 나을까요? (+복통은 없는데 위산분비억제제도 같이복용해야할까요?) 우선 정리를 해야할 것 같습니다. 어지럼증이 주증상이라면 다른 원인을 찾아보셔야 합니다. 위장약을 드셔도 되지만 현 상황에서 크게 도움이 되는 것 같지는 않습니다

    추천 좋아요 부탁드립니다.