아하
  • 토픽

  • 스파링

  • 잉크

  • 미션


의료상담

그리운라마156

그리운라마156

23.03.29

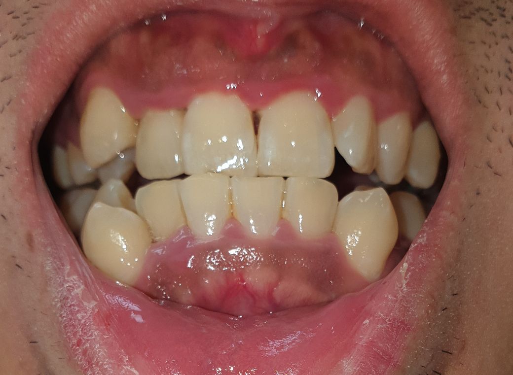
잇몸질환 사진 보시고 판단 좀 해주세요ㅜㅜ

33세 치과 안간지 몇년이나 지난지 감도 안오네요..

충치는 생겨본적이 없어서 치아에 관심이 별로 없었는

데 잇몸이 좀 아파보이긴 한거 같습니다.

양치할때 피가 한번씩 나는거 빼고는

딱히 아프거나 하지않습니당

그래도 가봐야되게 생겻죠..?

  • 1번 째 사진

3개의 답변이 있어요!

  • 탈퇴한 사용자

    탈퇴한 사용자

    23.03.29

    안녕하세요. 장인아 치과위생사입니다.

    치석의 세균이 만들어낸 독소가 잇몸에 침투하여 주위조직에 출혈, 통증, 염증을 일으키는 잇몸질환이 있는것 같습니다..치과에 내원하여 염증치료(스켈링과 잇몸치료)를 통해 개선될수 있습니다.

    도움이 되기를 바랍니다. 건강하세요.


  • 안녕하세요. 정진석 치과의사입니다.

    육안으로도 치석이 보이고 있으며 잇몸이 부분적으로 부운 곳도 있습니다. 치과 방문 후 스케일링을 하셔야 할 것으로 보이며 사진을 찍었을 때 문제가 있다면 잇몸 치료까지 하셔야 할 것으로 보입니다. 치과 방문을 권해드립니다.

    아무쪼록 저의 답변이 문제 해결에 작게 나마 도움이 될 수 있기를 기원드립니다. 항상 건강하고, 행복하세요^^

    정진석 치과의사 드림

  • 안녕하세요. 김철진 치과의사입니다.

    잇몸이 약간 부어 잇는거 말고는 사진상으로는 크게 나빠 보지인 않습니다. 치열이 좋지 않아서 안쪽으로 치석이 많이 쌓엿을수도 잇으니 치과에 가셔서 스켈링 및 잇몸치료를 받아보세요.