의료상담
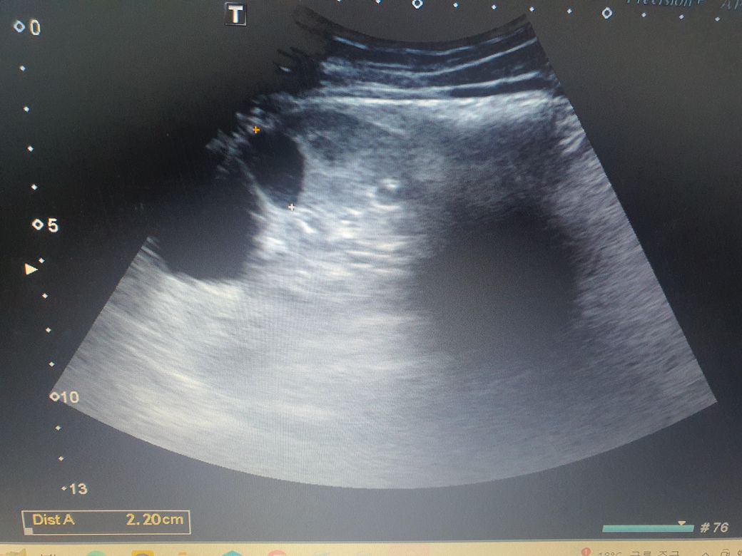
이거 신장 낭종이 1개인건지?2개인건지?
성별
남성
나이대
34
제 신장인데 3.6cm가 있다고 하더라구요
의사분은 몇 개라고는 알려주진 않으셨는데
초음파CD를 받아서 집에 와보니 3.6cm옆에 다른 사진에 2.2cm라고 되어 있어서 궁금합니다.
55글자 더 채워주세요.
3개의 답변이 있어요!
안녕하세요. 아하(Aha) 의료분야 답변자 외과 전문의 배병제입니다.
사진에 보이는 낭종은 두 개이고, 각각 3.6cm와 2.2cm 크기를 가지고 있습니다.
저의 답변이 부족하겠지만 조금이나마 도움이 되셨길 바랍니다.
안녕하세요. 이성민 의사입니다.
신장 낭종이 2개가 맞습니다.
다만 단순 낭종으로 보이며 암으로 변이 가능성은 없습니다.
혹시라도 걱정이 되신다면 1년마다 신장 초음파 해보시는 것을 추천드립니다.
안녕하세요. 채홍석 의사입니다.
특별한 이야기가 없다면 단순낭종이 2개 있는 것 같습니다
문제 되지 않습니다.
낭종의 모양에 따라 위와 같이 분류하며 2F이후로는 악성가능성이 있습니다
참고하시기 바랍니다
추천 좋아요 부탁드립니다.

