아하
  • 토픽

  • 스파링

  • 잉크

  • 미션


의료상담

약간새로움이넘치는튤립

약간새로움이넘치는튤립

엑스레이 판독 부탁드려요 괜찮아보이나요?

성별

여성

나이대

80

기저질환

없음

복용중인 약

없음

기침증상이 좀 있는데 엑스레이상에는 문제 없을지 궁금합니다

사진늘 전달받았는데 ㅜㅜ 가족분이시라

궁금해요 ..

문제있는건 아니죠?

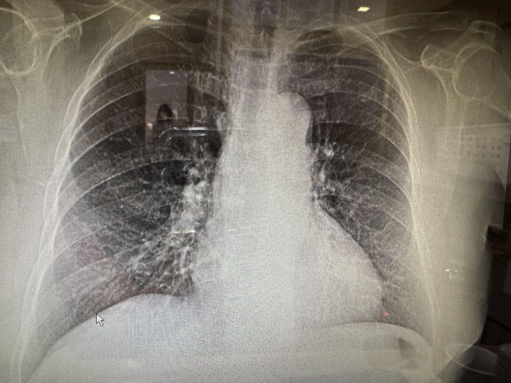
  • 1번 째 사진

2개의 답변이 있어요!

  • 탈퇴한 사용자

    탈퇴한 사용자

    X ray는 정밀검사는 아니고 사진도 깨끗하게 나오지는 않았지만, 전체적으로 큰 문제는 없어보이네요. 정밀검사가 필요하면 CT를 찍어봐야하지만,, 기침한다고 그정도 검사 필요하지는 않을거 같네요

  • 사진을 PACS 상에서 직접 판독을 해야 정확하기에 명확히 진단을 내리기 어려우나 양측하단의 음영 증가가 있는 것으로 판단 됩니다. 폐부종 등이 있지는 않은지 내과 전문의 진료를 받아보시기 바랍니다.