턱관절 구강악 안면외과 구강내과 질문
제가 19~21년 치아교정하고 정말 예쁜 교합으로 잘 지내다가 올해 3월 초에 질긴 음식을 먹고 3월 중순 쯤 자고 일어났더니 오른쪽 턱관절이 뒤로 밀려서 (회전해서),개방교합이 생겼습니다. 디스크 쪽 불편함도 있어서 구강내과 치료도 받다가 호전이 없어 구강악안면외과에 갔더니 제가 턱 사이즈가 작은데 , 턱이 뒤에 있어야 편한 위치인데 치아교정은 앞에서 물리게 해놔서 질긴 음식 먹은 충격으로 인해 뒤로 밀린거라 하셔서 하악 수술을 하라고 했는데 아무리 생각해도 너무 의아해서요. 턱 사이즈가 작다고 어느날 이렇게 뒤로 밀리는 일이 생기나요? 저는 아무리 봐도 디스크가 어긋나서 막고있는 것 같아요 CR CO Discrepancy를 언급하시던데 저는 치아교정한 교합으로 정말 편하게 지냈거든요
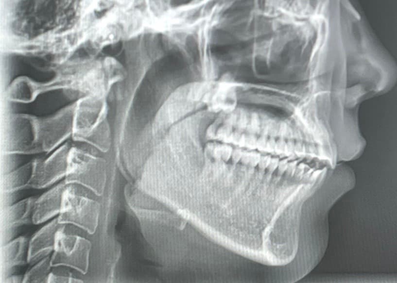
사진은 순서대로 턱 뒤로 회전하기 전,후입니다.
안녕하세요. 김철진 치과의사입니다.
음식때문에 턱관절이 뒤로 밀려서 교합이 틀어지는경우는 드물것같습니다. 대학병원에서 양악수술이 필요 하다고 햇으면 다른곳으로 가셔도 별다른 방법이 없지 않을까 생각됩니다.
안녕하세요. 김지훈 치과의사입니다.
턱관절은 수술이 필요한 경우에는 구강외과에서, 비수술적 진료는 구강내과에서 하시는 게 좋습니다.
안녕하세요. 최석민 치과의사입니다.
진단이나 교정방식, 목표는 치과의사마다 차이가 있습니다
원래 교정했던 치과를 가보는 것도 방법입니다
현재 엑스레이 사진상으론 어금니 교합은 정상적입니다. 치아 교합보다는 턱관절 문제에 집중해봐야 할 것 같습니다
안녕하세요. 안상우 치과의사입니다.
턱관절 질환은 하루 아침 만에 생기지 않습니다. 매우 오랜 시간 턱관절에 힘이 많이 가해지면서 해당부위가 염증이 생기고 뼈의 변화가 생기면서 교합의 변화가 생기게 됩니다. 턱관절 질환을 치료하기 위해서는 우선 턱관절에 가해지는 힘을 줄여줘야 합니다. 비가역적으로 턱관절에 고리 손실된 경우에는 수술이 필요할 수도 있습니다.
정확한 확인을 위해서 구강내과에서 진료를 받아보세요.

