잇몸 염증 괜찮아질까요?잇몸상태봐주세요 ㅠ
6월 초 부터 위에 앞니 잇몸에뾰루지가 나고 사라지길 두세번 반복했었고
아침에 일어나면 염증이 세어나와 고여져 있어서 7월 7일에
근처 치과에 가서 마취하고 깊게 위생사 선생님께서 스케일링을 해주셨습니다.
그 후로 뾰루지 나는건 아직까지 나지않고 있지만
아침에 일어나면 염증이 아직도 조금식 나오는데...
시간이 지나면 계속 좋아질까요?
치과에 다시 가서 물어 보았는데
양치를 더 열심히 하라고 해서 ㅠ
어디 물어볼곳이 없네요..ㅠ
브릿지한 치아여도 사이사이 치실도 넣어 열심히 하고있고
워터픽도 쓰고있구요
아주작은 치간칫솔로도 양치하고 있습니다 ㅠ
마취하고 스케일링 하고 나선 그전보다는 나아졌긴한데ㅠ
아침마다 염증이 ㅠ 있고 혀로 앞니뒷면에서 밀면 염증이 소량 흘러나옵니다.
조금만더 시간이 지나면 괜찮아 질까요?
약이라도 지어먹어야할까요?ㅠ
계속 염증이 나와서ㅠ 잇몸뼈가 사라질까바 ㅠ겁도나고 ㅠ
브릿지한 치아라 더 ..ㅠ 심적으로 고민이 많네요..
브릿지를 뜯고 신경치료를 하고 다시 해야하는지..
발치까지 해야하는 상황까지 올까바...ㅠ 힘이듭니다.
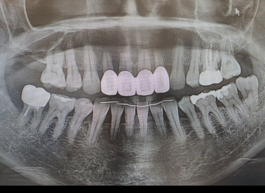
치근단 사진은 7월 7일에 찍은겁니다.
그리고 파노라마는 7월 5일에 찍었습니다.
이렇게 아침에..저리 이사이 에 염증이 있습니다.
지금 현상태 잇몸은 이렇습니다.
안녕하세요. 김철진 치과의사입니다.
염증이 나온다면 잇몸치료를 일반적으로 하는게 맞습니다. 하지만, 염증치료를 해도 계속 염증이 나온다면 치아에 문제가 생겻을 가능성이 높으며 그럴경우에는 브릿지제거후에 신경치료를 해야될 가능성도 있습니다.
안녕하세요. 김지훈 치과의사입니다.
아직 발치와는 거리가 멀고 뼈 상태는 괜찮아보입니다. 치실, 치간칫솔 등으로 계속 관리잘해주시면 됩니다.

