아핫뉴스실시간 인기검색어
아핫뉴스 화산 이미지
아하

의료상담

치과

디즈니랜드
디즈니랜드

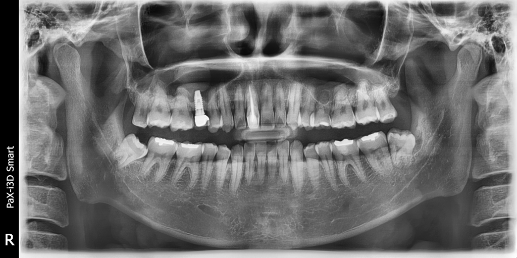
임플란트가 있는데요 치아교정 가능한가요?

오른쪽 상악에 임플란트를 했는데


부분교정이라도 가능할까요?..


비발치로 , 임플란트는 손안대고 하고싶은데ㅣ...


ㅠㅠㅠ




  • 1번 째 사진
55글자 더 채워주세요.
4개의 답변이 있어요!
  • 안녕하세요. 송우식 치과의사입니다.

    임플란트 되어 있지만 교정치료 가능합니다. 어차피 교정할 때 임플란트 한 치아는 이동하지 않습니다.

  • 안녕하세요. 김철진 치과의사입니다.

    임플란트는 교정을 할수가 없습니다. 부분교정이 가능하다면 하셔도 되지만 먼저 교정진단을 받아보셔야됩니다.

  • 안녕하세요. 김지훈 치과의사입니다.

    임플란트가 있더라도 교정치료는 가능합니다. 치과에서 상담을 받아보시면 되겠습니다.

  • 안녕하세요. 최석민 치과의사입니다.

    임플란트는 이동하지 않기 때문에 교정이 불가능하고 임플란트 부위를 피해서 부분교정도 임플란트에 영향이 미치지 않는선에서 아주 제한적으로 가능할 것 같습니다

PC용 아하 앱 설치 권유 팝업 이미지장도연이 추천하는 아하! 앱으로 편리하게 사용해 보세요.
starbucks
앱 설치하고 미션 완료하면 커피 기프티콘을 드려요!