아하
  • 토픽

  • 스파링

  • 잉크

  • 미션


의료상담

똑똑한여치21

똑똑한여치21

오른쪽 윗어금니 통증 도와주세요..

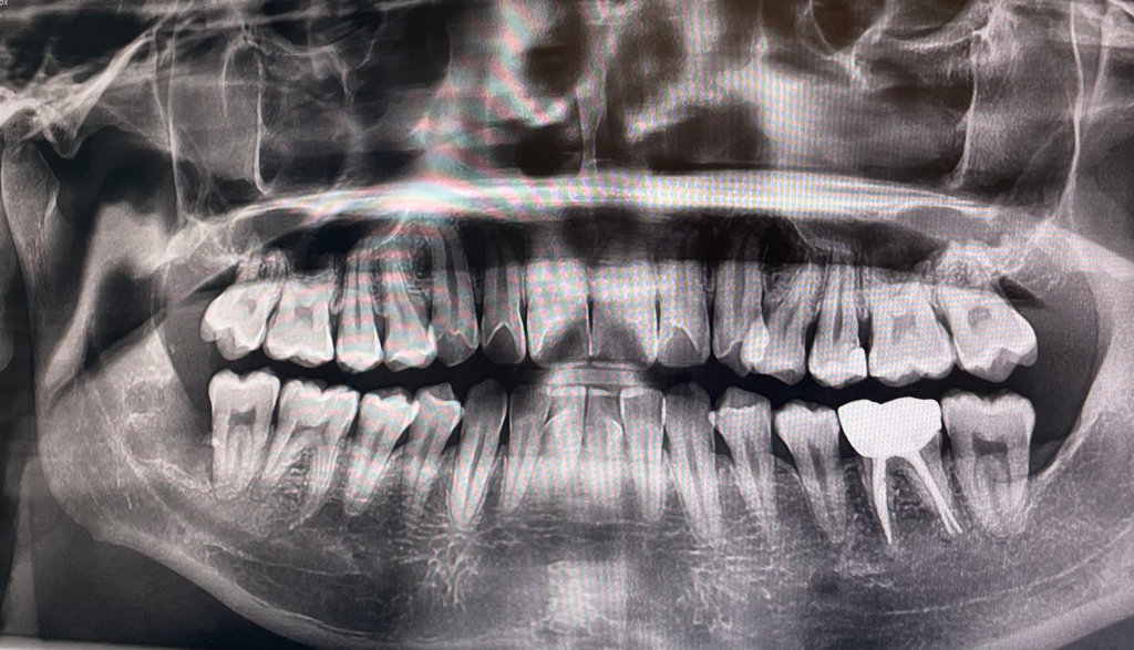
질기거나 딱딱한 음식을 먹을때 오른쪽 윗어금니 혹은 그 옆 치아 부분에 불편한 통증이 있습니다. 찌릿 하거나 저린 느낌의 통증은 아니고 묵직(?) 눌리는 느낌의 압통같은 통증이에요. 평상시나 일상적인 식사를 할때는 통증이 없고 뜨겁거나 차가운 음식이나 액체를 먹을때도 이렇다 할 통증은 없습니다.

위와같은 증상 관련해서 세군데의 치과를 가봤는데 모두 충치나 기타 특이사항은 없으니 지켜보자 말씀 하셨는데 여전히 질기거나 딱딱한 음식을 먹을때 편한 식사가 안 될 정도로 불편한 통증이 있습니다.. 선생님들 말씀으로는 한군데는 치아가 사선으로 자람으로 인해 씹는 과정에서 통증이 있을 수 있다 했고, 한군데는 엑스레이상 저 부분의 높이 차이로 교합시 통증이 생길 수 있으니 정 불편하면 어금니 부분 치아를 살짝 갈아내자 하셨습니다. 근데 여태 괜찮다가 갑자기 왜 이러는지 모르겠어요. 특이사항으로는 6월 8일에 오른쪽 아래 매복사랑니 발치를 했고 사랑니 발치 1주 전부터(사랑니 통증 때문) 발치 후 1주일 정도는 오른쪽으로 식사 하지 않았습니다.


아래 엑스레이 사진 첨부하겠습니다 ㅠㅠ

좀 지켜보자고 하는데 고기 종류만 먹어도 압통(?) 처럼 느껴지네요.. 왜 아픈걸까요.. 도와주세요ㅜㅜ




** 엑스레이상 어금니가 있는 사진은 올 초 겨울이고, 나머지 두장은 이번에 진료볼때 사진입니다.











  • 1번 째 사진
  • 2번 째 사진
  • 3번 째 사진

2개의 답변이 있어요!

  • 안상우 치과의사

    안상우 치과의사

    목동안치과의원

    안녕하세요. 안상우 치과의사입니다.

    이상이 없음에도불구하고 통증이 있다면 치.아에 힘이 많이 가해.지고 있는 지확인을 해보는것이 좋습니다.

    평소에 이 악물기 습관이나 이갈이가 있어서 치아에 비정상적인.힘이 많이 가해진다면 치아가 아프거나 할수 있습니다.

    힘때문에 생기는 통증은 치아에 가해지.는 힘이 줄어들면 괜찮.아 지는경우가 많습니다.

  • 안녕하세요. 김철진 치과의사입니다.

    사진상으로 보면 잇몸뼈가 많이 녹아 잇는것처럼 보입니다. 치아가 흔들린다면 그게 원인일수도 있습니다. 만약 흔들리지 않는데 치아가 불편하다면 치아에 금이갓을 가능성이 높습니다.