아하
  • 토픽

  • 스파링

  • 잉크

  • 미션


의료상담

아마도당당함이넘치는바텐더

아마도당당함이넘치는바텐더

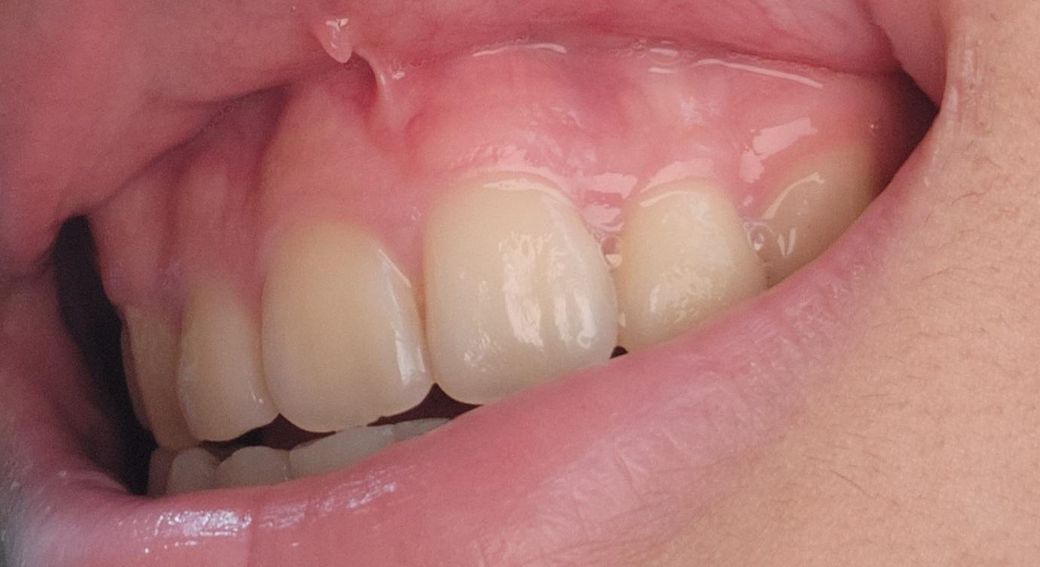
잇몸에 멍?하고 입술 연결부위 찢어짐

점심에 잠깐 낮잠자고 일어났더니 이렇게 멍?들고 쑤시느 느낌이 나는데 병원 방문해야하나요? 그리고 입술하고 이어주는 부분이 찢어진거 같아요.

점심때에 비해서는 붉은끼가 많이 들어갔어요

  • 1번 째 사진
  • 2번 째 사진
  • 3번 째 사진

4개의 답변이 있어요!

  • 김지훈 치과의사

    김지훈 치과의사

    메가

    안녕하세요. 김지훈 치과의사입니다.

    사진상으로는 특별히 문제가 보이지는 않습니다. 통증이 지속되거나 하면 치과 가보시면 됩니다.

  • 안녕하세요. 안상우 치과의사입니다.

    사진으로 봤을 경우에는 크게 문제가 되는 것으로 보이지는 않습니다. 잇몸은 부분적으로 어두운 색을 띠거나 밝은색을 띨 수 있습니다.

  • 안녕하세요. 최석민 치과의사입니다.

    소대 부위와 관련된 외상인데 구강내과 가보시기 바랍니다 일반치과에서는 약처방 외에는 특별히 해줄 수 있는 조치가 없습니다.

  • 안녕하세요. 김철진 치과의사입니다.

    육안상으로는 크게 문제가 없어 보이는거 같습니다. 통증이 잇거나 불편하시면 치과에 가셔서 엑스레이를 한번 찍어보세요.