의료상담
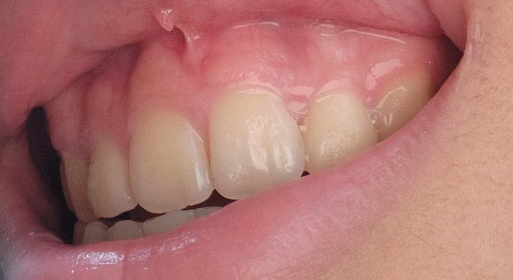
잇몸에 멍?하고 입술 연결부위 찢어짐
점심에 잠깐 낮잠자고 일어났더니 이렇게 멍?들고 쑤시느 느낌이 나는데 병원 방문해야하나요? 그리고 입술하고 이어주는 부분이 찢어진거 같아요.
점심때에 비해서는 붉은끼가 많이 들어갔어요
55글자 더 채워주세요.
4개의 답변이 있어요!
안녕하세요. 김지훈 치과의사입니다.
사진상으로는 특별히 문제가 보이지는 않습니다. 통증이 지속되거나 하면 치과 가보시면 됩니다.
안녕하세요. 안상우 치과의사입니다.
사진으로 봤을 경우에는 크게 문제가 되는 것으로 보이지는 않습니다. 잇몸은 부분적으로 어두운 색을 띠거나 밝은색을 띨 수 있습니다.
안녕하세요. 최석민 치과의사입니다.
소대 부위와 관련된 외상인데 구강내과 가보시기 바랍니다 일반치과에서는 약처방 외에는 특별히 해줄 수 있는 조치가 없습니다.
안녕하세요. 김철진 치과의사입니다.
육안상으로는 크게 문제가 없어 보이는거 같습니다. 통증이 잇거나 불편하시면 치과에 가셔서 엑스레이를 한번 찍어보세요.

