아하
  • 토픽

  • 스파링

  • 잉크

  • 미션


의료상담

핫한삵188

핫한삵188

25.05.24

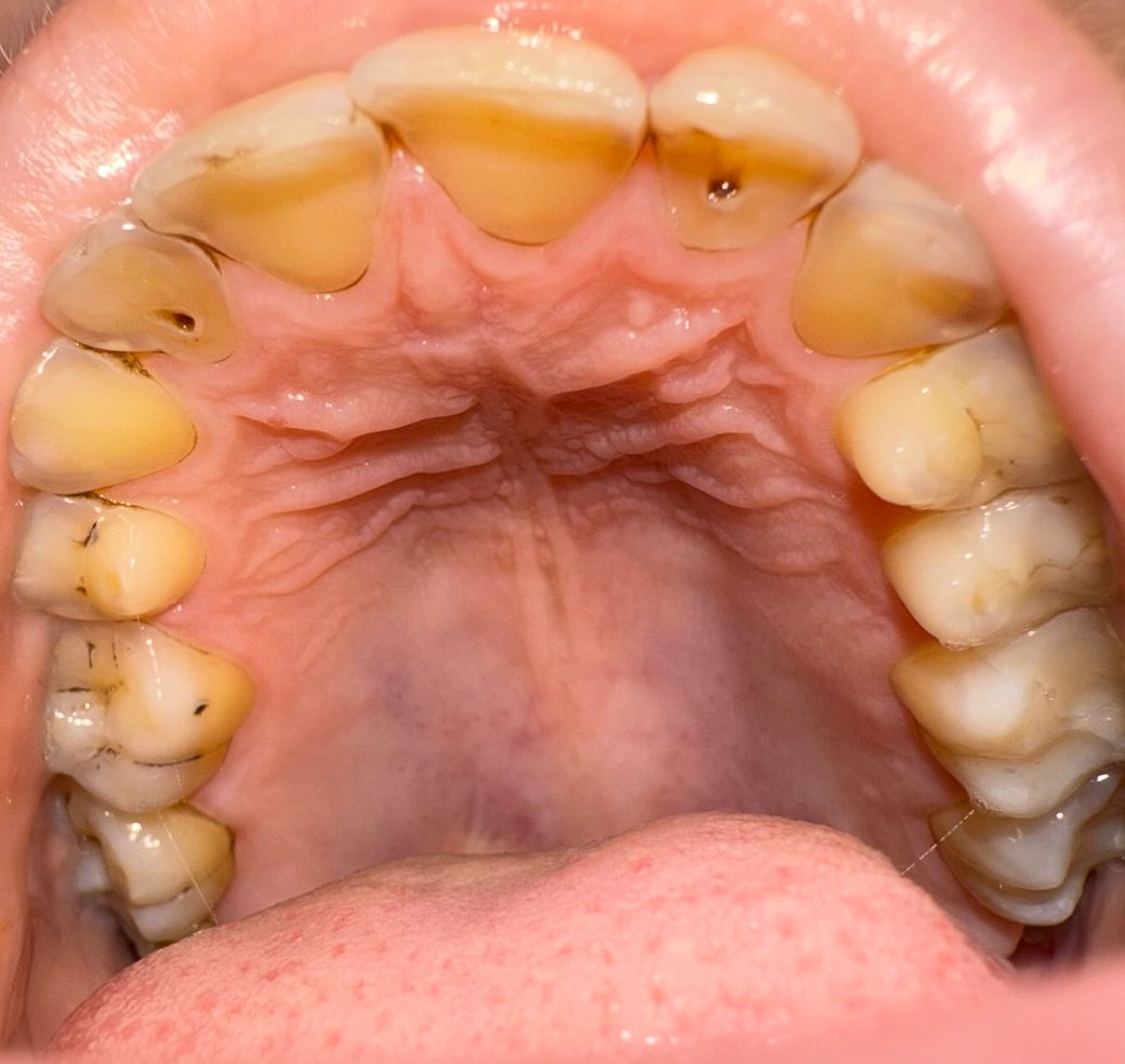
치과 어느정도의 치료가 필요한지 궁금합니다

안녕하세요

작년에 어느정도 좋지않다는것을 알고는 있었는데

아랫니만 치료를 하고 윗니는 방치했다가 최근에 사진을 찍어보니 이렇습니다.

이정도면 어느정도 치료를 해야하는지 궁금합니다

  • 1번 째 사진

3개의 답변이 있어요!

  • 김철진 치과의사

    김철진 치과의사

    가까운우리치과

    25.05.25

    안녕하세요. 김철진 치과의사입니다.

    정확한건 치과에 가셔서 엑스레이를 먼저 찍어보셔야될것같습니다. 충치가 깊으면 신경치료를 해야될수도 있을것같습니다.

  • 안녕하세요. 안상우 치과의사입니다.

    치아의 전반적인 충치가 보입니다. 우선 충치 치료를 해야 될 것으로 보입니다. 치아의 설면이 마모가 많이 되어 있는 듯 보입니다. 경우에 따라서는 크라운과 같은 보철치료를 해야 할 수 있습니다.

    자세한 확인을 위해서 치과에서 진료를 받아보는 것을 권유드립니다.

  • 안녕하세요. 최석민 치과의사입니다.

    초기충치와 다소 진행된 충치가 여러개 있고 충치치료, 신경치료 가능성이 있어보입니다.