의료상담
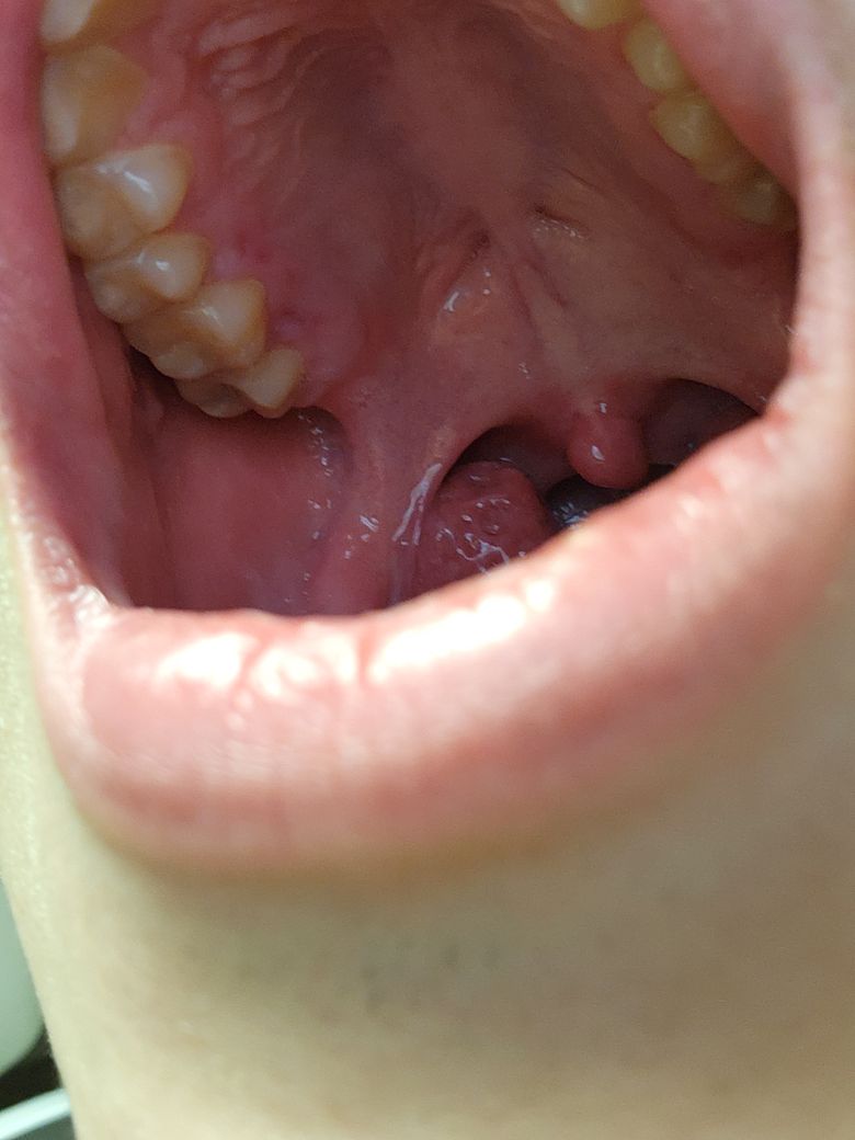
왼쪽 위 안쪽 잇몸의 붉은 점이 뭔가요?
일요일 부터 인가요? 갑자기 잇몸이 붓고 아프더라고요
그래서 보니까 잇몸에 빨간색 점이 있더라고요
안 건드리면 안 아픈데 음식이 닿거나 칫솔이 닿으면
통증이 있는데 이거 치과 가봐야 하나요?
55글자 더 채워주세요.
2개의 답변이 있어요!
안녕하세요. 안상우 치과의사입니다.
사진만으로는 어두워서 정확한 원인을 알기 힘들어 보입니다.
잇몸에 염증이 있는 경우에 통증이 있을수 있습니다.
잇몸이 붓고 출혈이 된다는 것.은 치주조직에 염증이 있다는 것입니다.
염증은 잇몸에 치석이나 그외의 이물질이 .자주 저류되어 있기 때문입니다.
결과적으로 잇몸의 염증을 제거하기 위해서는 .염증을 유발하는 치석이나 치태 또는 음식물 등을 물리적인 힘으로 제거해야 합니다.
칫솔질을 꼼꼼이 하시고 칫솔질을 할때 치실도 같이 사용.하시면 도움이 됩니다.
치과에서 스케일링을 받아보시고 출혈이 지속된다면 잇몸.치료를 받아 보세요
정확한 확인을 위하여 가까운 병원에.서 자세한 진료를 받아보시길 권장 드립니다.
안녕하세요. 김철진 치과의사입니다.
사진상으로 보면 염증이 잇거나 그렇진 않지만, 뜨거운 음식을 드셔서 잇몸에 약간의 화상을 입으신거 같습니다. 시간이 지나면 괜찮아 지실꺼에요.

